Головная боль при повышении внутричерепного давления

По статистике ВОЗ, у каждого третьего человека на Земле – повышенное давление. Этот неприятный симптом может быть как самостоятельным заболеванием (гипертония), так и следствием другого заболевания (артериальная гипертензия). Чаще всего на повышенное давление жалуются люди в возрасте, но повышенным может быть давление и у молодых людей. Причин может быть множество:

  • Нездоровый образ жизни, вредные привычки и неправильное питание;
  • Значительный лишний вес;
  • Заболевания мочевыводящей системы;
  • Стресс;
  • Недостаток микроэлементов;
  • Атеросклероз сосудов;
  • Прием некоторых лекарств;
  • И т.д.

Гипертония – причины и механизм развития

Гипертония – хроническое заболевание, при котором наблюдается частое повышение артериального давления. Если в норме он составляет 120/80 мм. рт. ст., то при 140/90 мм. рт. ст. уже диагностируют начальную стадию болезни. У некоторых пациентов повышается только систолическое (верхнее) давление, но вместе с ним может возрастать и нижний (диастолический) показатель. Диагноз ставится на основании результатов измерения артериального давления в разных физиологических состояниях: во время покоя и после нагрузок.

Кровяное давление повышается вследствие нарушения его регуляции, сосудистых спазмов и других факторов. У большинства пациентов гипертония первичная – она проявляется в качестве самостоятельного заболевания, также может наблюдаться наследственная предрасположенность. В остальных случаях болезнь вызвана длительным применением некоторых групп препаратов, в том числе гормональных средств, заболеваниями почек и нарушением обмена веществ. Так, диагностируется вторичная (симптоматическая) гипертензия, при которой также часто болит голова и поднимается давление.

Врачи выделяют факторы риска, которые могут спровоцировать приступы гипертонии, а также усугубить течение болезни на ранних стадиях. К ним относятся:

  • избыточный вес – до 85% пациентов с диагнозом «хроническая гипертония», страдают от ожирения;
  • курение – эта вредная привычка снижает способность сосудов реагировать на изменение кровяного давления, а также провоцирует ишемию (кислородное голодание) миокарда;
  • недостаточная физическая активность, сидячий образ жизни, работа за монитором;
  • стрессовые ситуации, которые активируют симпатическую нервную систему и приводят к стойкому повышению артериального давления;
  • возраст пациента.

По статистике, у молодых людей гипертония является вторичной и связана с образом жизни человека. Повышенное артериальное давление, головная боль часто спровоцированы вредными привычками, стрессами и неправильным питанием. В возрасте 40 лет и старше диагностируется склеротизация артерий – снижение их прочности и эластичности в результате прорастания соединительной ткани. Этот процесс необратим, но его можно оставить путем приема препаратов, адекватной физической нагрузки и лечебной диеты.

Причины скачков давления

Наверное, не раз каждый страдающий гипертонией замечал, что его давление постоянно изменяется, при этом возникают своеобразные «скачки» давления, то есть оно то повышается, то, наоборот, понижается.

Тут можно назвать несколько причин:

  • Первая причина — это гормональная.
    То есть мозжечок дает сильный сигнал надпочечной железе, и та — выбрасывает в кровь определенный фермент из за которого происходит резкий скачок АД. Для диагностирования этого желательно пройти УЗИ на предмет изучения надпочечников;
  • Вторая причина — это психологическая или эмоциональная.
    Если человек эмоционален или неуравновешен, то это вполне может сказаться на стабильности артериального давления;
  • Третья причина — это физическая
    . Чрезмерные физические нагрузки, поднятие тяжестей, перенапряжение при занятиях спортом;
  • Четвертая причина — это атмосферное давление, а так же уровень или сила магнитных бурь.
    Если человек очень чувствителен в этом плане, то любой скачок атмосферного давления будет сказываться весьма неблагоприятно на его состоянии здоровья;
  • Пятая причина — это фармакология.
    Некоторые лекарства могут повышать давление, если человек страдает от гипертонии, то принимать лекарства можно только после согласовании со своим лечащим врачом.
  • Шестая причина — лабильность вегетативной нервной системы
    . Все наши сосуды имеют мелкую свою иннервацию. Иногда, нервная система чрезмерна чувствительна, чем обычно, возбуждаясь эти нервные окончания могут влиять на тонус сосудов. При небольших волнениях давление может подниматься чрезмерно высоко и так же снижаться.

Причин для скачков давления, конечно, предостаточно, и, если человек болен гипертонией (да и другими заболеваниями в т.ч. и хроническими), желательно быть внимательным ко всему. Ведь гипертония — это не бой, а целая война, которая будет сопровождать всю жизнь, и цель человека не проиграть в ней!

Особенности головной боли при гипертонии

Головная боль при давлении – это результат нарушения способности сосудов адаптироваться к внешним и внутренним изменениям. Кровь давит на внутренние стенки сосудов, раздражая рецепторы. Эти сигналы поступают к головному мозгу, где преобразуются и вызывают болевой синдром. На запущенных стадиях болезни это состояние сопровождается повышением давления жидкости внутри черепа, что также вызывает сильную головную боль.

Хроническая гипертония проявляется чередованием периодов покоя и повышения артериального давления. Во время приступов у пациента очень болит голова, давление в артериях резко поднимается. Это может быть вызвано рядом факторов:

  • физическое либо умственное переутомление – в таком случае для нормализации показателей давления достаточно уделить внимание полноценному отдыху;
  • изменение погодных условий – резкое повышение атмосферного давления часто провоцирует приступы гипертонии, которую устраняют отдыхом и лекарственными препаратами;
  • ненормированные физические нагрузки – вызывают ускорение кровотока и сердцебиения, что опасно при недостаточной эластичности сосудов;
  • беременность – гормональные изменения становятся причиной приступов гипертонии;
  • неправильное питание – употребление избыточного количества соли и специй приводит к нарушению выведения жидкости из организма, отечности и увеличению объема циркулирующей крови.

Головная боль при высоком давлении имеет свои особенности. Она может быть вызвана разными причинами, поэтому ее принято классифицировать на сосудистую, ликворную, ишемическую и невралгическую. У большинства пациентов она распространяется на область висков и затылка. Она острая, давящая, приводит к нарушению концентрации внимания. При резком повышении давления возможно ухудшение слуха и зрения, обмороки.

Сосудистая боль

Основная причина сосудистого синдрома – нарушение оттока жидкости от головного мозга. Артерии и вены наполняются кровью, наблюдается отечность тканей. Это приводит к раздражению нервных рецепторов и нарастанию болевого синдрома. Боль в голове при давлении давящая, ощущается пульсация сосудов. Она усиливается, если опустить голову вниз, а также при резких движениях, кашле и чихании.

Ликворный синдром

Еще одна причина, почему болит голова при давлении – нарушение движения ликвора. Это специальная жидкость, которая находится в головном и спинном мозге. Она выполняет амортизирующую функцию, защищает мягкие ткани от сдавливания и регулирует давление в черепной коробке. В норме она циркулирует постоянно, но при сосудистых патологиях, заболеваниях сердца и хронической гипертонии задерживается в головном мозге. Этот процесс сопровождается ноющей, распирающей болью, которая усиливается во время резких движений головы. Процесс опасен, поскольку в ликворе также содержатся питательные вещества для нервных клеток. Если не стимулировать циркуляцию жидкости, это может приводить к ишемии головного мозга и спровоцировать инсульт.

Ишемический болевой синдром

Причиной головной боли и давления может становиться спазм кровеносных сосудов. Это приводит к недостаточному поступлению кислорода и питательных веществ к определенным участкам головного мозга. Также у пациента наблюдается нарушение слуха и зрения, головокружение, резкое повышение артериального давления и слабость. Приступы снимают путем применения спазмолитиков, также полезен отдых и средства для нормализации работы нервной системы.

Невралгическая боль

Повышение давления внутри черепной коробки оказывает влияние на все нервные структуры. Избыток ликвора приводит к сдавливанию тройничного нерва, который отвечает за иннервацию кожи и мускулатуры лица. Боль в таком случае резкая, пульсирующая, сконцентрирована в лицевой части. Она обостряется во время движения, наклонов и поворотов головы.

Дополнительные симптомы

Пациенту с хронической гипертонией важно знать, как болит голова при повышенном давлении. У нее есть несколько особенностей, которые указывают на одновременное повышение артериального давления:

  • головная боль распространяется на затылок и височные части головы;
  • характер болей – давящий, появляется ощущение распирания содержимого черепной коробки;
  • наполнение сосудов приводит к покраснению кожи и слизистых оболочек, возможны мелкие кровоизлияния из-за повреждения стенок капилляров;
  • звон или шумы в ушах – типичный признак повышенного артериального давления;
  • нарушение зрения, появление различных галлюцинаций в виде черных точек или кругов перед глазами;
  • слабость, усталость, снижение работоспособности;
  • головокружение, тошнота;
  • резкое повышение показателей кровяного давления – причина обмороков.

Если начинает сильно болеть голова, необходимо измерить артериальное давление. Процедуру можно провести самостоятельно, с помощью тонометра. Этот прибор должен быть в каждой домашней аптечке, даже если в семье нет пациентов с хронической гипертонией. Головные боли проходят после восстановления кровотока и нормализации давления, в том числе индивидуально подобранными препаратами.

Мнение специалиста

Александр Юрьевич Шишонин отмечает: для того чтобы облегчить головную боль при гипертонии, в первую очередь необходимо откорректировать давление. Лучше всего это сделать немедикаментозным путем.

Информация о том, как снизить давление, представлена на сайте
«Клуба бывших гипертоников»
. Те, кто еще не стал членом клуба, могут это сделать совершенно бесплатно. На сайте представлено много полезной и интересной информации из области кардиологии и ортопедии.

Шишонин также обращает внимание на то, что головная боль возникает лишь у 50 % гипертоников. У второй половины повышенное давление не сопровождается головными болями. Почему возникает цефалгия? Ответ прост. Дело в том, что при высоком давлении приток крови к голове усиливается, а отток, в свою очередь, ослабляется. Это, скорее всего, связано с защемлением вен, по которым кровь оттекает от головного мозга.

Важно.

Если у человека наблюдается повышенное внутричерепное давление, то никакие обезболивающие таблетки ему не помогут.

Если у гипертоника тонометр, к примеру, показывает 180/100 мм. рт. ст., то нужно иметь ввиду, что внутричерепное давление при этом может быть в 1,5-2 раза выше, чем артериальное давление. Это связано с нарушенным оттоком венозной крови от головы.

Примечание.

Стоит отметить, что головная боль при артериальной гипертензии – это не единственный признак болезни. При ее течении наблюдаются и другие симптомы недомогания. Выявив признаки гипертонической болезни, оттягивать визит к врачу не стоит. Только опытный специалист сможет выяснить истинную причину их появления.

Что нужно делать, если головная боль возникает на фоне гипертонии?

Доктор Шишонин рекомендует гипертоникам при возникновении цефалгии прикладывать холодный компресс на затылок. Кроме того, затылочно-шейную область можно протирать кусочками льда в течение 1,5-2 мин. Затем место обработки необходимо насухо вытереть полотенцем.

Вышеописанные процедуры приводят к рефлекторному расширению кровеносных сосудов и оттоку крови от головного мозга. Таким образом, внутричерепное давление приходит в норму.

Примечание.

Очень важно не переборщить с использованием льда, так как при кратковременном воздействии на ткани холод (лед) расширяет кровеносные сосуды. Но если лед применять более 5 минут, это приведет к сужению сосудов. Этого допускать нельзя, так как состояние больного только ухудшится.

Может ли болеть голова при употреблении гипотензивных таблеток?

Специалисты «Клиники доктора Шишонина» – яростные противники применения таблеток при гипертонической болезни. Главврач лечебного учреждения отмечает, что если пациент при употреблении гипотензивных средств кое-как справляется с давлением и при этом у него еще болит голова, то это прямое подтверждение того, что у него есть проблемы с венозным оттоком крови.

Для нормализации артериального, внутричерепного давления, а также улучшения венозного оттока можно использовать холодные компрессы на затылочную область и выполнять несложный комплекс упражнений для шеи, разработанный доктором Шишониным.

Совет.

Если вы пьете таблетки от давления, и оно при этом нормализовалось, но голова продолжает болеть – значит, они вам не помогают. Бросайте этот метод лечения и ищите себе другого, более квалифицированного доктора.

Первая помощь при повышенном давлении

Если под рукой нет медикаментов, а также до консультации с врачом необходимо выполнить несколько мер, чтобы снизить кровяное давление. Также эти способы помогают снять спазм сосудов, восстановить церебральный кровоток. Врачи Клинического Института Мозга рекомендуют выполнить ряд простых действий:

  • обеспечить пациенту отдых в прохладном помещении;
  • достаточный доступ кислорода – снять болезненность, тошноту и головокружение часто помогает простое проветривание;
  • массаж шеи и головы – способ расслабить мышцы и уменьшить их давление на сосуды, можно выполнять самостоятельно;
  • прохладный компресс, который прикладывают к области висков и ступням ног.

Врачи советуют ограничиться только теми препаратами, которые указаны в назначении. Если они не помогают, стоит обратиться для повторной консультации и откорректировать список лекарств. Кроме того, пациент не должен самостоятельно увеличивать дозировку средств для повышения артериального давления и принимать дополнительные препараты для быстрого эффекта.

Противопоказания при гипертонии

Головная боль при гипертонии имеет свои особенности. Чтоб избавиться от нее, необходимо расслабить сосудистые стенки и вызвать их расширение, а также стимулировать отток избыточной жидкости. В домашних условиях запрещается выполнять следующие меры для лечения болевого синдрома, вызванного повышением давления:

  • находиться в душном помещении;
  • принимать горячую ванну, посещать баню или сауну;
  • употреблять кофе или натуральный крепкий чай, в котором также содержится кофеин в высокой концентрации;
  • купить или пить алкогольные напитки.

Важно понимать, что тактика лечения и оказания первой помощи отличается при повышенном и пониженном артериальном давлении. Перед приемом препаратов необходимо воспользоваться тонометром, а затем периодически контролировать показатели. Особенно важно следить за ними при вегето-сосудистой дистонии – хроническом заболевании, при котором кровяное давление периодически изменяется как в большую, так и в меньшую сторону.

Что делать?

Если у вас повысилось артериальное давление, появилась головная боль или другие сопутствующие симптомы, с высокой вероятностью это гипертензивный криз. Последовательность действий должна быть следующей:

  1. Купирование криза и нормализация АД.
  2. Выяснение причины криза.
  3. Принятие мер по предотвращению кризов, потому что каждый из них может завершиться острым коронарным синдромом, кровоизлиянием в мозг, расслоением аорты или другим тяжелым осложнением, количество которых исчисляется десятками.

Всё перечисленное должен делать врач, а не пациент. На первом этапе доктор купирует приступ. Темпы снижения АД не должны превышать 25% за 2 часа. Целевое артериальное давление должно быть достигнуто не раньше, чем через сутки или двое после криза. Такой эффект достигается комбинацией быстродействующих лекарств и препаратов длительного действия.

Дальнейшая задача доктора состоит в том, чтобы выяснить причину криза и устранить её. Пациенту требуется постоянная антигипертензивная терапия, если его артериальное давление превышает норму.

Методы диагностики

Диагностировать гипертонию можно и в домашних условиях, при наличии исправного тонометра. Однако, заболевание может иметь свои особенности и возникает по разным причинам. Важно пройти полное обследование, чтобы установить, почему повышается давление. Эта информация поможет подобрать эффективную схему лечения, а также не допустить дальнейшее развитие болезни. После осмотра и измерения давления врач может назначить следующие методы диагностики:

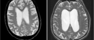
  • МРТ головы – один из наиболее эффективных способов, который используется при подозрении на повышение внутричерепного давления, наличие новообразований и очагов ишемии;
  • допплерография сосудов шеи и головы – информативная методика, которая заключается в исследовании кровотока с использованием контрастного вещества;
  • клинические и биохимические анализы крови – позволяют оценить химический состав жидкости, определить нарушения белкового обмена;
  • рентгенография шейного отдела позвоночника – на снимках будут заметны спондилез, остеохондроз и другие заболевания, которые приводят к сдавливанию кровеносных сосудов и повышению давления крови в них.

В Клиническом Институте Мозга есть все условия, чтобы пройти полное обследование при головной боли и повышенном давлении. Для подтверждения диагноза пациенту будут предложены консультации специалистов узкого и широкого профиля. Это позволит комплексно рассмотреть заболевание и подобрать лечение, которое будет воздействовать не только на симптомы, но и на причину болезни.

Скачет давление?

Чтобы поставить диагноз и оказать необходимую помощь, врач-невролог выслушает ваши жалобы, проведет осмотр и комплексное неврологическое обследование, которое включает в себя:

  • сбор анамнеза заболевания (беседу);
  • специальные неврологические тесты;
  • рефлекторную диагностику;
  • локальное пальпаторное обследование позвоночника и опорно-двигательного аппарата.

В дополнение к основному обследованию, при необходимости врач может назначить:

  • МРТ;
  • УЗИ;
  • Рентген;
  • Лабораторные анализы;
  • ЭЭГ;

Лечение головной боли при повышенном давлении

Острый приступ головной боли можно снять препаратами группы анальгетиков. К ним относятся Цитрамон, Анальгин и другие средства, которые находятся в самой простой домашней аптечке. Однако, для контроля за уровнем артериального давления назначается индивидуальная схема лечения. Она зависит от причины и стадии гипертонии, возраста пациента, наличия сопутствующих заболеваний и других факторов. Она может включать лекарственные средства разных групп.

  1. Селективные бета-блокаторы – препараты, которые снижают частоту сердечных сокращений, что приводит к уменьшению давления на внутренние стенки сосудов. К этой группе относятся Бисопролол, Метопролол и их аналоги.
  2. Блокаторы кальциевых каналов (Кордафен, Фелодипин) – часто назначаются для комплексного лечения гипертонии, поскольку не имеют побочных эффектов. Они препятствуют проникновению избыточного количества ионов кальция в стенки сосудов. Это приводит к их расширению и расслаблению, а также к замедлению учащенного сердцебиения.
  3. Лекарственные средства группы нитратов (Нитронг, Кардикет) – применяются при значительном повышении давления. Они помогут снизить его в краткие сроки, но не подходят для длительного приема.
  4. Альфа-адреноблокаторы (Фентоламин) – препараты, которые быстро снимают сосудистые спазмы и восстанавливают движение крови по артериям.
  5. Диуретики (Фуросемид, Лазекс) – мочегонные препараты. Они подходят для приема курсом и применяются в лечении хронической гипертонии. Эти средства стимулируют выведение избыточной жидкости и контролируют объем циркулирующей крови.
  6. Спазмолитики – группа лекарств, которые быстро снимают сосудистые спазмы. К этой группе относятся Но-Шпа, Спазмалгон и другие средства, которые подходят для устранения головной боли любого происхождения.

Если часто поднимается давление и болит голова, это требует комплексного лечения. Врачи Клинического Института Мозга подберут оптимальную схему, которая будет включать только необходимые препараты. Их следует принимать в домашних условиях и периодически измерять показатели давления. Кроме того, врачи назначат лечебную диету с пониженным количеством соли, жирных продуктов и полуфабрикатов. Для лечения гипертонии также необходимо отказаться от вредных привычек, курения и употребления алкоголя.

Методы профилактики

У большинства пациентов диагностируется приобретенная гипертония. Это значит, что своевременная профилактика поможет избежать ее появления и укрепит сосуды. В домашних условиях необходимо выполнять простые правила:

  • обеспечивать ежедневные умеренные нагрузки;
  • проводить время на свежем воздухе;
  • контролировать вес, не допускать развития ожирения;
  • следовать принципам правильного питания;
  • отказаться от вредных привычек.

Клинический Институт Мозга предлагает индивидуальные программы диагностики и лечения головной боли, вызванной повышенным давлением. Здесь можно получить грамотную консультацию врачей, пройти полное обследование и отслеживать динамику развития заболевания. Гипертония не представляет опасности, если следовать рекомендациям, вовремя принимать препараты и избегать ситуаций, которые провоцируют повышение давления.

Куда обратиться?

Для получения медицинской помощи при артериальной гипертензии и гипертоническом кризе, вы можете обратиться в клинику «Квантум Сатис». Мы предлагаем:

  • Купирование криза – мы снизим АД медленно, чтобы избежать развития осложнений.
  • Обследование – мы выясним, нет ли повреждения органов-мишеней, по возможности установим причину криза.
  • Контроль – наши специалисты назначат поддерживающее лечение, которое поможет избежать следующего криза и его тяжелых осложнений.

Нелеченная артериальная гипертензия сокращает жизнь человека на годы, а иногда и на десятки лет. Поэтому не стоит игнорировать проблему: обратитесь в «Квантум Сатис» и получите своевременное лечение.

Рейтинг
( 1 оценка, среднее 5 из 5 )
Понравилась статья? Поделиться с друзьями:
Для любых предложений по сайту: kapiparando@cp9.ru