Диагностика аневризмы сосудов головного мозга в Германии

Госпитализация и лечение по квоте ОМС. Подробнее после просмотра снимков.

  • Как диагностируют
  • Принципы лечения
      Клипирование аневризмы
  • Эндоваскулярная окклюзия
  • Реабилитация после оперативного лечения аневризмы
  • Возможные осложнения операции
  • Прогноз для жизни
  • Консультация нейрохирурга
  • Аневризма сосудов головного мозга является локальным выпячиванием артериальных стенок. Заболевание нередко протекает без симптомов. По мере увеличения аневризмы головного мозга происходит значительное истончение стенок образования, что может привести к его разрыву и развитию геморрагического инсульта.

    В зависимости от формы аневризма сосудов головного мозга может быть веретенообразной и мешотчатой. Установить точный тип заболевания можно только во время комплексной диагностики. Мешотчатая аневризма встречается намного чаще.

    Причины заболевания

    Аневризма является опасным состоянием, требующим в первую очередь оперативного лечения. В противном случае не удастся избежать осложнений. Специалисты считают, что болезнь является следствием аномалий развития, которые нарушают строение сосудистой стенки. Нередко аневризма головного мозга сочетается вместе с дисплазией соединительной ткани, поликистозом почек, сосудистыми нарушениями. Приобретенная форма заболевания может стать следствием черепно-мозговой травмы. Также аневризма головного мозга встречается на фоне атеросклероза, гипертонической болезни.

    Сам по себе дефект сосудистой стенки возникает постепенно. На фоне дегенеративных процессов, повреждения тканей или их недоразвития участок утрачивает прежнюю эластичность. Под давлением тока крови сосудистая стенка начинает выпячиваться. Так образуется аневризма головного мозга. Чаще всего образование встречается в месте, где разветвляются артерии и наблюдается наиболее сильное давление на стенку сосуда.

    Виды аневризм сосудов головного мозга

    По развитию:

    • Истинные аневризмы (участок сосуда равномерно расширяется).
    • Ложные аневризмы (образуется гематома, сообщающаяся с просветом сосуда).

    По размеру:

    • Большинство аневризм небольшой величины – менее 11 мм.
    • Редко аневризмы достигают 11–25 мм в диаметре – средней величины.
    • Аневризмы с диаметром, превышающим 25 мм, называют гигантскими.

    По форме выделяют три типа аневризм:

    • Мешотчатая аневризма – округлый мешочек с кровью, прикрепляющийся шейкой к артерии, а может и к месту ответвления сосудов. Эта самая распространенная форма аневризмы артерий головного мозга. Чаще формируются у взрослых.
    • Боковая аневризма имеет вид опухоли на стенке кровеносного сосуда.
    • Веретенообразная (фузиформная) аневризма – диффузное расширение стенки сосуда на значительной его протяжении.

    По клиническому течению:

    • Бессимптомная аневризма (не вызывает симптомов и случайно выявляется).
    • Неразорвавшиеся аневризмы (симптомы сдавления мозга и черепных нервов).
    • Разорвавшаяся аневризма (признаки внутричерепного кровотечения).

    Симптомы аневризмы

    Можно выделить два варианты течения заболевания: апоплексическое и опухолеподобное. От разновидностей аневризмы зависят особенности клинической картины. Опухолевидная форма заболевания сопровождается активным течением. За короткий срок аневризма увеличивается в размере, сдавливает важные анатомические образования мозга.

    Опухолеподобная аневризма чаще всего локализуется в области кавернозного синуса или хиазмы. При поражении хиазмальной области снижается острота зрения. При длительном течении возникает атрофия зрительного нерва. Если аневризма сосудов мозга находится в кавернозном синусе, возникает парез, поражение ветвей тройничного нерва. По мере развития патологии возникают глазодвигательные нарушения, может появляться косоглазие.

    Признаки разрыва аневризмы

    Резкая головная боль является первым симптомом разрыва аневризмы. Болевой синдром сначала имеет локальный характер. Но очень быстро головная боль распространяется и становится диффузной. При этом пациенты отмечают появление тошноты и повторяющейся рвоты.

    В дальнейшем возникают характерные менингеальные симптомы:

    • ригидность мышц затылка;
    • симптомы Кернига и Брудзинского;
    • потеря сознания.

    При разрыве аневризмы сосудов головного мозга возникает субарахноидальное кровоизлияние. Она может сопровождаться очаговыми симптомами, которые зависят от места локализации образования. Наиболее тяжелым является кровоизлияние в желудочки, которое часто приводит к смерти больного.

    При аневризме передней мозговой артерии развивается парез ног, который нередко сочетается с психическими нарушениями. Поражение средней мозговой артерии приводит к нарушениям речи, развитию гемипареза.

    Если патология локализуется в области вертебробазилярной системы, во время разрыва аневризмы возникают нарушения глотания, развивается нистагм в сочетании с центральным парезом лица и тройничного нерва.

    При первых признаках возможного появления аневризмы необходимо сразу обращаться за срочной медицинской помощью. Важно сохранять физический покой, избегать перенапряжения. Специалисты проведут осмотр, диагностику, поставят точный диагноз, назначат необходимые препараты для сокращения риска появления опасных для жизни осложнений.

    Клинические проявления осложнений при субарахноидальном кровоизлиянии

    После перенесённого субарахноидального кровоизлияния при разрыве аневризмы артерии мозга у пациента возможны осложнения. К таким осложнениям относя:

    • тромбофлебит с эмболией лёгочной артерии
    • индуцированная стрессом прободная язва двенадцатиперстной кишки
    • изменения на ЭКГ, свидетельствующие об инфаркте или ишемии миокарда

    Субарахноидальное кровоизлияние в полости черепа запускает усиление активности симпатической нервной системы. Это вызывает миофибриллярную дегенерацию сердечной мышцы (миокарда). При разрыве аневризмы с субарахноидальным кровоизлиянием возможно развитие аритмии сердца. Таким больным рекомендовано назначение бета-адреноблокаторов. Их применение у пациентов должно быть связано с осторожно, особенно при наличии атриовентрикулярной блокады. Возможным осложнением у больного является и снижение уровня натрия в плазме крови (гипонатриемия). Гипонатриемия возникает при несоответствующей секреции антидиуретического гормона (АДГ) или при секреции натрийуретического гормона. Лечение таких пациентов сводится к ограничении свободной жидкости при поддержании достаточного внутрисосудистого объёма.

    Как диагностируют

    Так как аневризма артерии может протекать без выраженных симптомов, необходимо обращать особое внимание на первые признаки у женщин и мужчин. Диагностировать заболевание должен невролог на основании проведенного осмотра, полученных результатов диагностики и изучения цереброспинальной жидкости.

    Во время неврологического осмотра выявляют очаговые и менингеальные симптомы. По месту локализации жалоб можно определить предположительно, где находится патологический очаг.

    Точную информацию о состоянии пациента невролог получает с помощью следующих исследований:

    • Рентгенография черепа. Для аневризмы головного мозга характерны признаки деструкции костных тканей.
    • Компьютерная томография, магнитно-резонансная томография головного мозга.
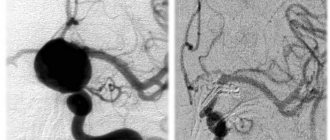
    • Ангиография. Можно получить основную информацию о расположении, форме и размере аневризмы мозга.
    • Люмбальная пункция. Исследование позволяет обнаружить кровь в цереброспинальной жидкости, что свидетельствует о наличии кровоизлияния.

    Специалисты проводят дифференциальную диагностику аневризмы сосудов головного мозга. Важно поставить точный диагноз в короткие сроки. Это позволит избежать неблагоприятных последствий аневризмы мозга. Дифференцировать аневризму необходимо от опухолевидных процессов, кист и абсцессов.

    Принципы лечения


    Лечение аневризмы проводит невролог. Операцию осуществляет только нейрохирург. Хирургические методы направлены в первую очередь на профилактику разрыва аневризмы, которое может закончиться гибелью пациента. Консервативная терапия при данной патологии используется для замедления развития болезни.

    Оперативное лечение аневризмы головного мозга предполагает проведение два типа основных операций: клипирования и эндоваскулярной окклюзии. Хирургическое вмешательство предупреждает разрыв аневризмы. Радикальным методом лечения является удаление артериовенозной мальформации во время проведения микрохирургической операции.

    Клипирование аневризмы

    Клипирование аневризмы является открытой операцией, во время которой нейрохирург блокирует кровоток в определенном участке сосуда и накладывает клипсу. На этапе подготовки к операции специалисты назначают процедуру, которые позволяют стабилизировать состояние пациента и минимизировать риск появления возможных осложнений. Профилактическое обследование дает возможность выявить возможные нарушения и заболевания, которые могут привести к неблагоприятным последствиям хирургического вмешательства.

    Операцию проводят с использованием современной микрохирургической техники, через небольшое трепанационное отверстие. Во время хирургического вмешательства нейрохирург проводит профилактику разрыва стенки мальформации.

    После выделения шейки аневризмы специалист накладывает на нее клипсу. Дополнительный контроль допплерографией позволяет оценить состояние кровотока и убедиться в эффективности проводимой операции.

    Лечение аневризмы методом клипирования считается достаточно сложным и должно выполняться только опытным нейрохирургом. Квалифицированный специалист сделает все возможное для аккуратного и технически правильного наложения клипсы. В противном случае не избежать опасных осложнений и длительного реабилитационного периода.

    Клипсу накладывают на шейку аневризмы сосуда. Точность действий нейрохирурга подтверждается проведением во время процедуры качественной диагностики (допплерография).

    Эндоваскулярная окклюзия

    Во время эндоваскулярной окклюзии аневризмы нейрохирург проводит блокировку просвета расширенного сосуда специальным имплантом. Операция применяется при невозможности провести клипирование, например, когда аневризма имеет веретенообразную форму. Во время хирургического вмешательства через бедренную артерию потом ангиграфическим контролем специалист вводит баллон-катетер. Он закрывает просвет аневризмы. Также можно использовать микроспираль для проведения тромбирования. Выбор остается за лечащим врачом. Микроспираль в полости пораженного сосудистого участка образует тромбы, которые закупоривают просвет сосуда и выключают аневризмы из кровообращения.

    Результаты

    Результаты лечения пациентов представлены в таблице.


    Результаты лечения пациентов с крупными и гигантскими аневризмами ВББ Примечание. ОА — основная артерия, ПА — позвоночная артерия, ЗНМА — задняя нижняя мозжечковая артерия, ВМА — верхняя мозжечковая артерия, FD — flow diverter, потокоперенаправляющий стент, AS — assisting stent, стент, использованный для ассистенции.

    У 7 пациентов удалось достичь одномоментного выключения аневризмы из кровотока или выраженного замедления кровотока в аневризме. В 6 случаях нарастания неврологической симптоматики не отмечено. У 1 пациентки с сочетанием аневризмы ЗНМА и АВМ в раннем послеоперационном периоде отмечено усиление диплопии. Больной с фузиформной аневризмой средней и нижней трети ствола основной артерии, с объемным воздействием на варолиев мост, планировалась имплантация потокоперенаправляющего стента в ассистирующий стент (с целью максимального позиционирования потокоперенаправляющего стента только в области дефекта артерии, ассистирующего (в относительно не измененном участке) — верхней трети основной артерии). В раннем послеоперационном периоде (1-е сутки) у пациентки развилась симптоматика ишемического поражения ствола головного мозга, обусловленного тромбозом перфорирующих ветвей основной артерии, что и привело к смерти больной на 3-и сутки после операции.

    В 2 случаях в связи с сохраняющейся симптоматикой был выполнен второй этап оперативного вмешательства, заключавшийся в декомпрессивной трепанации задней черепной ямки и удалении мешка аневризмы, оказывающего компрессионное воздействие на ствол головного мозга (рис. 2).


    Рис. 2. Гигантская аневризма правой верхней мозжечковой артерии. а, б, в — МРТ в коронарной, сагиттальной и аксиальной проекциях, режим Т1 В.И. Визуализируется мешок гигантской аневризмы, грубо сдавливающий ствол головного мозга; г — СКТ-ангиография, белой стрелкой указана заполняющаяся часть аневризмы; д — этап операции удаления тромботических масс из полости аневризмы. Интраоперационное фото. АА — мешок аневризмы, Cer — мозжечок; е — СКТ головного мозга после операции, отмечается значительное уменьшение размеров аневризматического мешка с уменьшением компрессии ствола.

    Отдаленные результаты были отслежены у 5 пациентов в сроки 3—48 мес после операции. У 4 больных произошел практически полный регресс имевшейся симптоматики. По данным контрольной церебральной ангиографии, аневризма не заполняется у 4 пациентов, сохраняется незначительное заполнение у 1 больного. Всем пациентам также была выполнена контрольная МРТ головного мозга, по данным которой уменьшение аневризмы в размерах отмечено у 3, отсутствие изменения размеров — у 2.

    Реабилитация после оперативного лечения аневризмы

    Реабилитационный период проходит под контролем специалистов. Профессионалы делают все необходимое для профилактики появления послеоперационных осложнений. В реанимационном отделении пациент находится несколько суток под постоянным контролем специалистов. После больного переводят в общую палату, где некоторое время необходимо соблюдать строгий постельный режим. Возвращение к привычному образу жизни происходит постепенно.

    При ухудшении самочувствия больного после хирургического вмешательства возможно назначение транскраниальной допплерографии. Реабилитация направлена в первую очередь на профилактику ангиоспазма и повышения артериального давления. Также специалисты следят за общим состоянием сердечно-сосудистой системы, при необходимости назначают осмодиуретики для устранения отека мозговой ткани. Дополнительно проводится противовоспалительная терапия.

    Реабилитация после оперативного лечения аневризмы обязательно включает проведение программы для восстановления нарушенных функций организма и дальнейшей социализации пациента. Срок восстановительного периода продолжается не менее 6 месяцев. С помощью качественной реабилитации можно в том числе устранить неблагоприятные последствия хирургического лечения.

    Реабилитационные мероприятия включают проведение физиотерапии, массажа, реализацию индивидуально подобранной восстановительной программы. После проведения клипирования эндоскопическим способом к привычной жизни пациент может вернуться уже через несколько недель.

    Прогноз для жизни

    Прогноз заболевания зависит от места локализации сосудистого выпячивания и его размеров. Также огромное влияние оказывает первоначальное состояние пациента. Смертность в случае разрыва аневризмы мозга превышает 30-50%. У выживших пациентов иногда остаются последствия перенесенного состояния в виде ограничений движения, нарушения когнитивных функций и значительного снижения качества жизни. Летальность после повторного кровоизлияния превышает 70%.

    Поэтому так важно во время проводить оперативное лечение, обращаясь к квалифицированному нейрохирургу. Операцию откладывают только при наличии определенных медицинских показаний.

    Успешные нейрохирургические операции проводят в НИИ Бурденко. Здесь принимают пациентов с признаками аневризмы, подозрением на ее появление. В институте нейрохирургии можно провести комплексную диагностику с использованием новейшей техники и дальнейшее лечение выявленных заболеваний.

    Рейтинг
    ( 2 оценки, среднее 4.5 из 5 )
    Понравилась статья? Поделиться с друзьями:
    Для любых предложений по сайту: kapiparando@cp9.ru