Осложнения после травм головного мозга (сотрясение, ушиб головного мозга)

Геморрагический инсульт — состояние острого нарушения кровообращения в головном мозге, сопровождающееся кровоизлиянием в полость черепа и приводящее к образованию гематом.

Сегодня геморрагический инсульт относится к тяжелому состоянию, приводящему к инвалидности. В основном заболевание затрагивает мужчин, но чаще всего погибают именно женщины. Летальность является очень высокой, причём кровоизлияние приводит к гибели практически 50% пациентов. Это происходит в течение 30 суток после произошедшего приступа.

Но даже после выхода из кризиса борьба должна обязательно продолжаться, ведь проблемы с кровообращением, которые начались в головном мозге, имеют множество последствий. Но в этом случае реабилитация после произошедшего геморрагического инсульта вместе с постепенным возвращением пациента к привычной жизни является возможной.

Как возникает геморрагический инсульт?

Кровоизлияние в мозг во время инсульта — спонтанное явление. Для функционирования мозга требуется большое количество кислорода, проступающего из крови. Питание производится благодаря двум сонным и двум позвоночным артериям, которые образуют между собой круг, проходящий через основание головного мозга.

При повреждении сосуда возникает острая кровеносная недостаточность, которая обязательно компенсируется здоровыми сосудами. Однако с течением времени происходит снижение эффективности такой системы взаимопомощи. К появлению кровоизлияния в мозг при геморрагическом инсульте приводят внезапные разрывы стенки сосудов или их повышенная проницаемость из-за других хронических заболеваний.

Во время кровоизлияния в мозг происходит гибель клеток головного мозга, которые пострадали от попадания на них крови. В расположенных поблизости участках мозга начинается дефицит кислорода, так как до них не доходит кровь, которая не может двигаться дальше по сосудистой системе.

Реабилитация

Инсульт — это острое нарушение кровообращения в головном мозге. Это состояние сопровождается потерей сознания, а также параличом.

После геморрагического инсульта требуется длительный период восстановления для того, чтобы человек жил привычной жизнью или приближенно к ней.

В медицинской практике используются методы по восстановлению:

  • речи;
  • зрения;
  • памяти;
  • моторики;
  • двигательной функции.

При комплексном подходе методики, индивидуально подобранные врачом, будут невероятно эффективны.

Сложнее стоит вопрос сроков.

Количество времени, которое требуется для восстановления зависит от нескольких факторов:

  1. Тип полученного инсульта. Так, при геморрагическом инсульте срок восстановления меньше, чем при ишемическом.
  2. Количество очагов и степень поражения.
  3. Когда была начата реабилитация. Здесь действует одно правило: чем раньше были предприняты меры, тем лучше.
  4. Правильно подобранное лечение и качество терапии.
  5. Психологическое состояние больного.
  6. Иные болезни и индивидуальные особенности.

Если реабилитация идёт успешно, то уже в течение первых 20 дней будут заметны улучшения. Как правило, возможность общаться появляются у людей в период от 10 дней до 3 календарных месяцев.

Чтобы восстановить функции конечностей потребуется от 1 до 5 месяцев.

Но сроки индивидуальны и зависят от каждого конкретного человека.

  • Восстановление после инсульта: как вернуть речь, зрение, память и моторику?

Лекарственные препараты

Сразу же после того, как был поставлен диагноз «геморрагический инсульт», требуется принимать препараты-гемостатики. Среди них:

  • Дициан (800 р.).
  • Цикломед (845 р.).
  • Этамзилат (180 р.).

Одновременно с ними применяются ангиопротекторы. Среди них:

  • Пентоксифиллин (250 р.).
  • Троксевазин (280 р.).
  • Трентал (450 р.).

Так как инсульт характеризуется повышением артериального давления, требуется его снижение. Для нормализации используется Клофелин (68 р.) и Дроперидол (72 р.).

Если вышеуказанные препараты не помогают, то применяется ганглиоблокаторы. Самый распространенный из них — Бензогексоний и Пентамин.

В обязательном порядке больным назначаются нейропротекторы. Эти препараты способствуют ускоренной реабилитации. Среди них Цераксон и Циннаризин.

ЛФК

Лечебная физкультура призвана бороться с двигательными нарушениями.

Основная цель физкультуры — это увеличение диапазона движений, а также укрепление сердечно-сосудистой и дыхательной системы. Кроме того, простые упражнения и правильное дыхание может активировать работу мозга.

Массаж

Используется массаж, которые направлены на укрепление тканей, улучшение работы нервной системы. Массаж должен выполнять медицинский работник в строгом соответствии с указаниями лечащего врача. Массаж осуществляется несколько раз в неделю. Самостоятельное выполнение такого вида лечения недопустимо, так как велик риск усугубить ситуацию.

Работа с логопедом

Индивидуальные занятия с логопедом проводятся на первых стадиях восстановления. Далее возможно групповое посещение занятий. По мнению психологов — это наиболее эффективная мера по возвращению к нормальной жизни.

  • Как избежать инсульта у женщин: профилактика препаратами и народными средствами

Логопед подбирает программы индивидуально, в зависимости от особенностей инсульта и восстановления каждого пациента

Физиотерапия

Основная цель физиотерапии — это предупредить повторное проявление инсульта, снизить болевой синдром, улучшить кровоснабжение, повысить иммунитет, а значит, результат лечения. Дополнительно улучшается прохождение нервных импульсов, нормализуется сон и убираются отёки.

В зависимости от индивидуальных случаев, больным предлагаются различные виды физиотерапии. Среди них:

  • электрофорез;
  • вибротерапия;
  • мануальная терапия;
  • магнитотерапия;
  • теплотерапия;
  • иглоукалывание.

Психотерапия

Многие пациенты, осознавая свою беспомощность после перенесенного инсульта, отказываются восстанавливаться и жить дальше. Поэтому важно общение с психотерапевтом. Он поможет найти силы жить, разберёт проблемы, а также найдёт мотивацию улучшать свое состояние.

Важно! Как показывает практика, в 83% случаев после общения с психотерапевтом у больного появлялось желание жить.

Какие бывают гематомы при геморрагическом инсульте?

Виды гематом при мозговом кровоизлиянии или геморрагическом инсульте:

  1. Паренхиматозные с распределением крови прямо внутри или под оболочкой головного мозга, с образованием гематом и с пропитыванием нервных мозговых тканей. При таком геморрагическом инсульте может сформироваться тяжёлый неврологический дефицит.
  2. Внутрижелудочковые с излиянием крови в желудочки мозга, с пропитыванием тканей и образованием гематомы. При таком виде особенно часто летальный исход наступает на 3-5 сутки.
  3. Субарахноидальные кровоизлияния в зону между паутинной и мягкой оболочкой мозга.
  4. Смешанные виды инсультов, при которых появляются очаговые кровоизлияния в разные участки головного мозга.

Также существует классификация по объёму крови, образующей гематомы: небольшого размера — до 20 мл, средние — в пределах 20-50 мл, объемные — от 50 и выше.

Период возвращения к нормальной жизни

Реабилитация после геморрагического инсульта проводится по плану в медицинских учреждениях разной направленности:

  • В течение 1 месяца больные лечатся в неврологическом или нейрососудистом отделении стационара.
  • Затем еще 1 месяц они получают восстановительное лечение в реабилитационном отделении.

После этого врачи оценивают, насколько успешно было проведенное лечение. В зависимости от предварительных итогов пациенту предлагаются разные программы дальнейшего восстановления.

Симптомы геморрагического инсульта

При геморроидальном инсульте симптомы чаще всего появляются внезапно, в основном в дневное время и при весьма тяжелой физической нагрузке. Характерно проявление следующих признаков:

  • судороги;
  • сильная головная боль;
  • внезапная потеря сознания;
  • тошнота и рвота;
  • серьезное угнетение сознания человека, схожее или приводящее к коматозному состоянию

Помимо этого, появляются и общие симптомы инсульта:

  • снижение мимики и мускульной силы, затрагивающее любую часть тела;
  • возникновение нарушений речи и проблемы со зрительным восприятием;
  • потеря координации движения с нарушением способности передвижения.

Во время приступа кожные покровы пациента становятся холодными и иногда приобретают багрово-синюшный оттенок. Дыхание становится более частым, шумным, с присутствием хрипов. Иногда с поражённой стороны происходит расширение зрачка, расхождение или хаотичные движения глазных яблок.

Важным показателем тяжести текущего состояния больного становится коматозный статус с потерей сознания, который по своей длительности может занимать несколько суток. Это делает прогноз весьма неблагоприятным.

К субарахноидальному кровоизлиянию чаще всего приводит разрыв аневризмы сосудов мозга. В результате пациент испытывает сильнейшую головную боль с её локализацией в зоне затылка и лба. Затем происходит её распространение на остальные части головы. В дальнейшем появляются другие симптомы геморрагического инсульта.

При обширном мозговом кровоизлиянии выполняются нейрохирургические микротехнические операции. В этом случае удаление гематомы приводит к снижению давления на ткани мозга и к предупреждению развития его отёка. Но хирургическая операция выполняется строго по медицинским показаниям.

При аневризме операция выполняется для остановки кровотечения, а больному назначаются кровоостанавливающие препараты. Часто при субарахноидальном поражении происходит сужение сосуда и развитие ишемического инсульта. В этом случае обязательно назначаются блокаторы кальциевых каналов для предотвращения сужения и спазма сосудистых стенок.

В первые 3 недели после приступа состояние больного остается наиболее тяжёлым из-за прогрессирующего отёка мозга, а также постепенного нарастания общемозговой симптоматики. При наличии в организме каких-либо хронических патологий, обостряемых на фоне геморрагического инсульта, пациент может погибнуть. Спустя месяц у больного начинает отмечаться регресс общемозговых симптомов и стабилизируется артериальное давление.

Это интересно! В домашней аптечке рекомендуется постоянное наличие глицина. Многие квалифицированные врачи относят такой препарат к нейропротектору или веществу, защищающему ткань головного мозга.

При появлении неприятной слабости в конечностях или расстройстве речи необходимо немедленно положить под язык 5 таблеток глицина. В некоторой степени такая профилактика может предотвратить острое мозговое нарушение и развитие геморрагического поражения.

Многих людей интересует то, чем отличается между собой ишемический и геморрагический инсульт. Два таких поражения имеют практически одинаковые симптомы, но обладают разными причинами развития такой серьёзной патологии. При ишемическом инсульте прогноз является благоприятным и в основном зависит от степени произошедшего поражения головного мозга.

Для каждого из видов такого заболевания характерны следующие признаки:

  • угнетение речевой способности;
  • частичный или полный паралич тела и конечностей;
  • нарушение чувствительности зрения или его полная потеря;
  • нарушение координации движений;
  • полная потеря слуха при геморрагическом состоянии;
  • • серьёзные угнетения функций коры головного мозга;
  • • повышение артериального давления.

Последствия инсульта в основном зависят от локализации и обширности имеющегося очага поражения. Геморрагический приступ имеет острое начало и быстро прогрессирует. Наступление комы в этом случае возможно уже через несколько первых минут или часов. При ишемическом инсульте симптомы являются менее выраженными.

Поражение левого полушария приводит к параличу правой стороны тела. Кровоизлияние в зону мозжечка лишает больного чувствительности, возможности глотать, видеть и говорить. Часто последствием геморрагического инсульта становится постепенное развитие слабоумия или деменции.

Первая помощь при сотрясении мозга

  1. При наличии одного или нескольких симптомов немедленно вызвать скорую помощь или доставить пострадавшего к врачу.
  2. Обработать рану на голове, если она появилась при ударе.
  3. В течение часа или до приезда врача важно не засыпать, но находиться в покое.
  4. При потере сознания, уложить человека на бок, согнуть ноги в коленях, и положить руки под голову.
  5. Если симптомы сотрясения сразу не проявились, рекомендуется отдохнуть и не начинать активную деятельность.

Сроки восстановления после геморрагического инсульта

Выполняемая реабилитация после такого мозгового поражения состоит из нескольких этапов:

  • ранний период, занимающий около полугода после произошедшего приступа;
  • более позднее восстановление, по длительности занимающее от полугода до 1 года;
  • этап окончательного выздоровления, который по своей длительности занимает всё последующее время.

Через год после произошедшего приступа начинаются остаточные явления. Самые лучшие результаты при реабилитации можно получить именно в первый год, по этой причине восстановление не должно откладываться.

Эффективные результаты получаются при обязательном соблюдении следующих важных принципов:

  • принятие мер на раннем этапе происходящего лечения в стационаре;
  • ежедневное выполнение больным соответствующих рекомендаций без каких-либо задержек;
  • назначение специальной физической нагрузки с соответствующей интенсивностью и постепенным усложнением упражнений.

Помимо этого, очень важным является принятие комплексных мер: назначение физиотерапии, медикаментозного лечения и необходимой коррекции психологического состояния пациента. В этот период выздоравливающий человек должен обезопасить себя от лишних стрессовых ситуаций, а также быть окружен заботой и любовью родных и близких людей.

Краткосрочные осложнения сотрясения мозга

У части пациентов, перенесших сотрясение мозга, могут возникнуть так называемые постстрессовые расстройства:

  • настойчивые головные боли, длящиеся 7-14 дней, интенсивность которых снижается при приеме анальгетиков или обезболивающих средств других групп;
  • приступы головокружения, затрудненная концентрация внимания, сложности при выполнении каких-либо обычных действий (чтения, письма и т.п.);
  • периодическая рвота без видимых причин, чувство тошноты.

Чаще всего побочные симптомы сотрясения мозга через некоторое время исчезают без лечения; если же они беспокоят пациента на протяжении нескольких месяцев, следует посетить врача и получить назначение на консультацию с невропатологом или томографию мозга (резонансно-магнитную, компьютерную) для уточнения диагноза.

Задачи реабилитации

Главными задачами осуществляемой реабилитации являются:

  1. Работа над восстановлением утраченных бытовых и физиологических функций человека, пострадавшего от инсульта. Восстановление полного объема движений, способности к самостоятельному обслуживанию самого себя и выполнение несложных домашних дел.
  2. Восстановление утраченной профессиональной трудоспособности с возвращением на предыдущее место деятельности или помощь в перепрофилировании.
  3. Сохранение необходимой социальной активности человека, в первую очередь — восстановление его контакта с близкими людьми и способности к новым знакомствам;

Очень важной является профилактика возможного рецидива и коррекция текущего жизненного образа пациента.

Точки восстановления после геморрагического инсульта

Осложнения пациента в основном зависят от локализации произошедшего кровоизлияния, а также от его объёма. Сегодня существуют следующие группы возможных угрожающих последствий:

  1. Двигательные нарушения. Появление у человека сильной слабости и пареза, невозможность пациента принять и сохранить сидячее местоположение. Это может быть паралич одной из сторон тела, высокий мышечный тонус или происходящие спазмы, что серьезно затрудняет самообслуживание, требует обязательной посторонней помощи и доставляет человеку множество неудобств.
  2. Нарушение чувствительности — это, например, онемение конечностей, ощущение «насекомых под кожей» и жжения, невозможность управления руками, приводящая к появлению различных бытовых проблем.
  3. Появление речевых патологий после инсульта — это спутанность речи и неспособность правильного произношения отдельных звуков или потеря способности поддержания разговора. Возможна утрата таких навыков, как: распознавания значения слов, счёта, чтения, определения времени по часам и понимания календарной периодичности.
  4. Проблемы с глотанием в процессе принятия пищи и различной жидкости, а в некоторых случаях — полная утрата способности к самостоятельному приему пищи.
  5. Нарушения со стороны выделительной системы: появление недержания мочи и стула, возникающие на постоянной основе проблемы с кишечником и мочевыделительной системы.

У пациента часто развиваются острые и хронические психологические и психические нарушения в виде депрессии, чрезмерной эмоциональной вспыльчивости или наступившей апатии. Иногда проявляется частичная амнезия: неспособность узнавать знакомых людей или предметов, пропадает понимание выполнения простых бытовых действий.

Типы реабилитации после геморрагического инсульта

Необходимая медикаментозная и двигательная реабилитация выполняется в следующих целях:

  • значительное уменьшение риска повторения геморрагического инсульта;
  • постепенное возвращение к привычному образу жизни;
  • возвращение утраченной трудоспособности;
  • выполнение больным элементарных навыков и действий;
  • сохранение личности пациента с помощью оказание социальной и психологической помощи.

Медикаментозное лечение

В головном мозге человека происходит замещение погибших нейронов на элементы с высокой активностью. Но из-за возрастающей нагрузки обязательно требуется получение дополнительной энергии. Оставшиеся живыми нейроны после повреждения с течением времени восстанавливают утраченные функции.

Назначаемые лекарственные препараты обеспечивают дополнительное питание и значительно улучшают процессы восстановления в головном мозге. Проведение дополнительных курсов важнейшей медикаментозной терапии рекомендуется в течение года один раз в три месяца.

Препараты, которые вводятся пациенту в виде инъекций в процессе лечения:

  • ноотропы, к которым относятся пирацетам, актовегин и другие препараты;
  • лекарства для стимуляции необходимых импульсов в клетках мозга, например, прозерин или нейромидин;
  • подобранные витамины группы B, улучшающие метаболизм в клетках.

Прием назначенных препаратов должен продолжаться даже после завершения положенного лечения в стационаре. В домашних условиях выполняется приём таблеток вместе с пищей.

С помощью медикаментозного лечения выполняется корректировка хронически повышенного артериального давления. При необходимости врач назначает подходящие препараты против артериального давления, блокаторы кальциевых каналов в клетках сосудов или средства для снижения уровня сахара в плазме крови.

Двигательное восстановление

Восстанавливать утраченное движение необходимо уже на этапе выполняемого стационарного лечения после того, как оказана первичная помощь. На конечности обязательно необходимо подавать физическую активность для улучшения кровообращения, что помогает в снижении тонуса и предотвращает появление застойных явлений в сосудах, а также бережёт пациента от возникновения пневмонии из-за лежачего образа жизни.

Положение конечностей в лежачем состоянии при необходимости корректируется при помощи лангеты или специальных грузов. Такие пациенты обязательно переворачиваются каждые 2 часа для предотвращения появления пролежней на коже, к тому же, это рекомендовано для стабилизации артериального давления.

Через несколько дней после приступа начинается пассивная гимнастика, в процессе которой человеку оказывается помощь в плавном движении различными частями тела. Процедуры проводятся только при отсутствии у человека болевых ощущений. При улучшении состояния следует помочь пациенту научиться принимать сидячее положение, а затем помочь ему в восстановлении вертикального положения. Перед началом ходьбы выполняется тренировка ног для того, чтобы вернуть утраченные ощущения положения в пространстве. Затем пациенту необходимо начать передвигаться с применением опор, ходунков и тростей.

Техники восстановления движения

Серьёзной ролью в реабилитации утерянной двигательной способности обладает лечебная физкультура. При этом разрабатываются подходящие упражнения для разных групп мышц, проводятся занятия с использованием специальных тренажёров, а также применяется устройство для снижения высокого мышечного тонуса.

Очень полезным является назначение специального массажа. Сначала выполняется поглаживание конечностей с достаточно высоким мышечным тонусом, а затем проводится растирание других групп мышц. Значительно улучшает эффект перед сеансом использование тёплой грелки. Процедура массажа может занимать 20 минут и в основном зависит от текущего состояния пациента.

Эффективными методиками физиотерапии становятся кислородные ванны, проводимый электрофорез сосудов на шее, а также электростимуляция мышц, которые потеряли свои функции в результате перенесенного инсульта.

Восстановление речи

Возвращение речи возможно даже после приступа, который произошёл более года назад. Разговор после произошедшего инсульта должен быть медленным с чётким произнесением слов. При этом не нужно торопить с ответом и задавать сложные вопросы.

Хорошо помогает в восстановлении функциональности мышц работа с логопедом. Также очень полезными становятся занятия перед зеркалом. В процессе наступления заметных улучшений возможно усложнение заданий и стимуляция человека к произношению более сложных произносимых фраз.

Восстановление дыхания и глотания

Питание пациентов в стационаре чаще всего выполняется с помощью специального зонда. Затем наступает время самостоятельного освоения навыка употребления пищи. Правильное приготовление продуктов значительно упрощает реабилитацию больного, серьёзно пострадавшего от инсульта. Приготовленная еда должна быть тёплой, не твердой и обладающей мягкой структурой. Ароматные блюда вызывают продуцирование слюны.

Пациентов категорически нельзя торопить в процессе принятия пищи, этот процесс может занимать полчаса и более. Возможно потребуется помощь в удержании посуды или ложки. Восстановление функций глотательных мышц происходит при регулярном повторении осуществляемого процесса питания.

Психологическое восстановление

У многих пациентов после тяжёлого геморрагического инсульта появляются депрессии и серьёзные проблемы с поведенческими функциями. В восстановлении мышления хорошо помогает правильно подобранная лекарственная терапия: курсы ноотропных препаратов, оказывающие стимуляцию нейрометаболических функцийю

Корректировка текущего состояния психики возможно при регулярной работе с психологом и психотерапевтом. Хороший эффект обеспечивается на сеансах групповой и индивидуальной психотерапии с соответствующим специалистом. Огромным значением в этом случае обладают поддержка со стороны родственников и друзей, возвращающая человеку радость жизни и уверенность в своих силах.

Обычно прогноз после этого заболевания является неблагоприятным из-за серьезных поражений функций головного мозга и его постепенного прогрессирующего отёка, часто приводящего к смерти. В некоторых случаях гибель может наступить из-за очередного кровоизлияния, которое происходит на другом участке мозга. Даже при выживаемости больного последствия часто приводят к инвалидности, а восстановление после геморрагического инсульта становится крайне тяжелым и длительным процессом.

Полное восстановление после инсульта практически невозможно, но всё же частичное возвращение утраченных функций при должном упорстве, хорошем уходе и необходимой заботе становится возможным.

Для этого в процессе реабилитации принимают участие врачи, медсёстры, инструкторы по лечебной физкультуре, сиделки и няни. Часто на это уходят месяцы и годы. Процедуры по реабилитации проводятся в специальных отделениях больниц и санаториев, где за восстановлением больного внимательно следят высококвалифицированные специалисты.

Субарахноидальное кровоизлияние

Что такое субарахноидальное кровоизлияние

Головной мозг защищен мягкой мозговой, твердой мозговой и паутинной оболочкой. В непосредственном контакте с извилинами находится паутинная оболочка, за ней следует мягкая мозговая оболочка. Твердая мозговая оболочка располагается между мозгом и костями черепа. В норме пространство между этими структурами заполнено ликвором.
Субарахноидальное кровоизлияние (САК) – это кровоизлияние в пространство головного мозга между мягкими и паутинными мозговыми оболочками. Простыми словами, в подпаутинном пространстве мозга скапливается кровь и сдавливает окружающие структуры.

Патология считается одним из видов геморрагического инсульта и грозит тяжелыми последствиями для человека – резким повышением внутричерепного давления, отеком мозга, поэтому нужна срочная медицинская помощь. Мозговое кровотечение развивается в результате нарушения мозгового кровообращения.

Виды

Специалисты классифицируют субарахноидальное кровоизлияние в зависимости от того, по какой причине возник САК:

  • спонтанное кровоизлияние. Происходит в результате внезапного повышения внутриартериального давления при нервном перенапряжении, сильном кашле, в момент родов, при подъеме тяжестей и натуживании во время акта дефекации. Но патология не развивается ни с того ни с сего. Ей предшествуют имеющиеся болезни, например, васкулит, аневризма, тромбоз мозговых вен, нарушенное кровообращение, гипертония и т.д.,
  • травматическое кровоизлияние. Диагностируется реже. Заболевание развивается в результате механического воздействия на голову – сильного ушиба, пролома костей черепа, разрыва внутренних тканей, сотрясения мозга, черепно-мозговой травмы, когда из-за травмы разрываются сосуды в подпаутинном пространстве.

Кроме того, САК делится на несколько форм в зависимости от того, в каком месте скопилась кровь:

  • изолированное. Кровь изливается под паутинную оболочку, поэтому не сдавливает внутримозговые структуры и вещество мозга,
  • субарахноидально-паренхиматозное. После попадания под паутинную оболочки кровь просекается в вещество мозга,
  • субарахноидально-вентрикулярное. После попадания под паутинную оболочку кровь попадает в желудочки мозга,
  • субарахноидально-паренхиматозно-вентрикулярное. Кровь распространяется по всем структурам головного мозга. К сожалению, при этой форме повышен риск летального исхода.

Причины возникновения

Исходя из практики, кровотечение случается из-за разрыва аневризмы, реже причиной патологии становится атеросклеротическая или микотическая аневризма. В основном разрывается аневризма средней, передней мозговой, соединительной или сонной артерии. Обычно САК случается после 50 лет, когда врожденная или приобретенная аневризма истончается и разрывается. Стенки артерии головного мозга выпячивают, постепенно просвет увеличивается, и артерия лопается. Кровь из поврежденной артерии вытекает в подпаутинное пространство и повышает внутричерепное давление.

Помимо аневризмы, запускающим механизмом субарахноидального кровотечения может послужить:

  • аномальное соединение вен и артерий в общую структуру без соединяющих капилляров,
  • злокачественные опухоли головного мозга,
  • врожденные заболевания соединительных тканей головного мозга,
  • дистрофия стенок сосудов в результате воспаления,
  • осложнения инфекций головного и спинного мозга,
  • заболевания кровотока, например, нарушенная свертываемость крови или повышенная хрупкость сосудов,
  • острые травмы головы, черепно-мозговая травма,
  • неконтролируемые скачки артериального давления (гипертония, эклампсия),
  • превышение нормы инъекций осмотических диуретиков, из-за которых повышается количество циркулирующей крови, и под давлением разрываются стенки сосудов.

Очень редкой, но возможной причиной САК может быть осложнение острого панкреатита, при котором в кровь поступают ферменты поджелудочной железы и заполняют подпаутинное пространство мозга.

В группу риска входят больные гипертонией, наркозависимые от кокаина, люди с аутоиммунными и дегенеративными поражениями сосудов головного мозга, а также люди, которые бесконтрольно принимают антикоагулянты.

Симптомы и признаки

Патология развивается внезапно и быстрым темпом, перед этим клиника болезни незаметна.

Симптомы субарахноидального кровотечения появляются по нарастающей и самочувствие больного ухудшается буквально поминутно. В момент разрыва сосуда и выхода крови клиническая картина следующая:

  • моментально появляется головная боль. Она настолько острая, что человек не может отвлечься на иные занятия. Максимальной боль становится спустя два часа,
  • в любой момент случается обморок, а в момент разрыва сосуда больной теряет сознание,
  • возникают припадки и судороги конечностей,
  • ощущается, будто по голове бьют тяжелым предметом,
  • мелькают мушки и темные круги перед глазами,
  • в течение двух часов больной становится обеспокоен своим состоянием, усиливается неврологическая симптоматика. Больной становится эмоционален – показывает страх, панику, агрессию.

Если не оказать первую помощь в течение первых часов, состояние больного ухудшится. В момент истечения крови из сосудов и смешивания крови с веществом мозга усиливаются неврологические признаки:

  • сильная тошнота с позывами к рвоте,
  • учащается дыхание и сердцебиение,
  • расширяется зрачок на стороне кровоизлияния,
  • черты лица теряют симметрию,
  • нарушается мочеиспускание, больной не контролирует позывы,
  • снижается острота зрения, перед глазами картинка расплывается, больной не может смотреть на яркий свет, глаза болят,
  • скачок температуры с дальнейшей лихорадкой указывает на поражение головного мозга,

Если больной находится в обмороке более 10 минут и частота потери сознания увеличивается, это означает, что желудочки мозга наполняются кровью. При геморрагической стадии больной заторможен, не разговаривает и не отвечает на вопросы, не реагирует на прикосновения.

Уже на следующий день субарахноидальное кровоизлияние вызывает синдром менингита – мышцы затылка и шеи становятся тверже, напрягаются мышцы передней поверхности голени, больной поджимает ноги под себя и запрокидывает голову назад.

В постгеморрагический период восстанавливаются нервные функции, однако наступает частичный паралич вкупе с расстройством речи и глотательной функции. Больной погружается в кому и его неврологические функции снова угнетаются.

Какой врач лечит субарахноидальное кровоизлияние

В первую очередь при развивающейся симптоматике нужно вызвать скорую помощь. В дальнейшем после госпитализации диагностикой и лечением заболевания занимается невролог.

Диагностика

После поступления в стационар проводится комплексное обследование. Первые признаки субарахноидального кровоизлияния схожи с осложнениями менингита, гриппа, эпилепсии, ишемического инсульта, инфаркта миокарда, поэтому для подтверждения диагноза осуществляется:

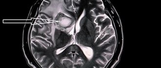
  • МРТ мозга. Визуализирует локализацию и размер очага кровоизлияние. В режиме реального времени на мониторе компьютера показываются участки кровопотери и уплотнения паренхимы. На снимках видно, какие отделы головного мозга затронуты, какой сосуд лопнул, затронут ли ствол головного мозга,
  • КТ мозга. По результатам диагностируется стадия кровоизлияния. Первая стадия – кровь отсутствует, вторая стадия – кровяные сгустки меньше одного миллиметра, третья стадия – кровяные сгустки больше одного миллиметра, четвертая стадия – кровь попала в желудочки,
  • пункция спинномозговой жидкости. Через прокол на пояснице забирают ликвор из спинномозгового канала для оценки его состава. Если в ликворе обнаруживается кровь, то диагностируется субарахноидально-вентрикулярное или изолированное кровоизлияние. Исследование ликвора проводят через 12 часов после развития первых симптомов, поскольку только за это время кровь проникнет из желудочков мозга в спинномозговое пространство,
  • УЗИ сосудов или церебральная ангиография. Проводится перед операцией для уточнения этиологии паренхиматозного кровоизлияния.

Невролог проверяет рефлексы, измеряет артериальное давление и температуру. Стоит отметить, что часто диагностика САК затруднена, т.к. больной поступает в стационар в бессознательном состоянии или состоянии комы.

В некоторых случаях диагностика дополняется осмотром глазного дна для определения отека зрительного нерва, ЭЭГ для выявления эпилептических обострений, рентгеном черепа при травматической природе развития заболевания.

Методы лечения

В течение первых минут приступа нужно уложить человека на ровную поверхность, подложить под голову подушку и повернуть голову в сторону. Следует расстегнуть пуговицы на рубашке, открыть окно для притока свежего воздуха. Сразу же вызвать скорую. Нельзя давать больному никаких медикаментов. Из-за риска осложнений и летального исхода субарахноидальное кровоизлияние лечится стационарно в палате интенсивной терапии.

Комплексная терапия включает в себя:

  • действия по сердечно-сосудистой и дыхательной стимуляции. Часто пациента подключают к аппарату искусственной вентиляции легких,
  • внутривенные инъекции мочегонных средств для уменьшения жидкости и предотвращения отека мозга,
  • внутривенные инъекции инсулина или глюкозы, если выявлено гипо- или гипергликемия,
  • уколы магнезии при лихорадочном состоянии,
  • прием обезболивающих, противовоспалительных средств для купирования неврологической симптоматики,
  • прием седативных средств при выраженном психомоторном возбуждении,
  • прием гипотензивных средств для нормализации артериального давления,
  • прием антиконвульсантов для устранения судорог,
  • прием витамина К для остановки кровотечения,
  • прием антагонистов кальция для предотвращения спазма сосудов,
  • прием антиоксидантов для улучшения мозгового питания.

Медикаменты стабилизируют дыхательную функцию, функцию сердечно-сосудистой системы, предотвращают отек головного мозга и повышение внутричерепного давления, не допускают спазм сосудов и снимают ярко выраженную неврологическую симптоматику.

Хирургическое вмешательство

Операция проводится в срочном порядке, если по результатам МРТ в структурах мозга находится больше 60 мл крови. Максимальный результат достигается при удалении скопившейся крови в течение 72 часов после наступления САК. Для устранения сдавления мозговых оболочек и пропитывания вещества мозга осуществляется дренаж.

Операция осуществляется под общим наркозом через трепанационные отверстия. Скопление крови удаляются, и устанавливается дренаж для отсасывания вновь поступающей крови. Для устранения последствий субарахноидального кровоизляния используются разные методики оперирования:

  • если на снимках МРТ выявился разрыв аневризмы, то на поврежденные сосуд накладывается клипса (клипируется) и он выключается из процесса кровоснабжения,
  • при сужении просвета сосудов более чем на треть, устанавливают стент,
  • не позже чем на 6 часов после кровоизлияния выполняют эндоваскулярное вмешательство. Через чрезкожную пункцию аневризма эмболизируется тонкими спиралями. Спирали «запирают» поврежденный сосуд и кровь перестает поступать в мозг.

Стоит отметить, что хирургическое вмешательство запрещено, если больной находится в коме и его сознание угнетено, у него отсутствует реакция на неврологические раздражители, зафиксирована ишемия мозга. Если данная клиника присутствует, операцию откладывают до момента стабилизации состояния больного и нормализации деятельности центральной нервной системы.

Результаты

Дальнейшее восстановление зависит от степени кровоизлияния. Чем больше мозговых структур заполнилось кровью, тем длительнее и тяжелее реабилитация. Первый реабилитационный период, в который восстанавливают элементарные навыки, длится полгода. Второй реабилитационный период продолжается в течение года. За этот промежуток устраняют последствия неврологических расстройств, а больной восстанавливает возможности бытового обслуживания и социальную активность. Во многих случаях остаточные явления САК остаются.

Реабилитация и восстановление образа жизни

Для восстановления функций организма приступают к физиотерапевтическому лечению. Невролог назначает курс электрофореза шейно-воротниковой зоны, магнитотерапии, электромиостимуляции на выбор для восстановления чувствительности и нормализации двигательной активности. Участки, подверженные мышечному спазму, прорабатываются иглорефлексотерапией, за счет чего чувствительность рук и ног возвращается. В позднем реабилитационном периоде полезны аппликации озокерита, кислородные и хвойные ванны.

Чуть позже терапия дополняется лечебной физкультурой и массажем. Врач в индивидуальном порядке подбирает комплекс упражнений для каждого пациента. ЛФК восстанавливает тонус мышц, способствует восстановлению навыков ходьбы, улучшает координацию движений и равновесие, предотвращают развитие контрактур при длительной неподвижности. Упражнения должны выполняться медленно и плавно, под контролем инструктора ЛФК.

Массаж пораженных конечностей делают с первых дней реабилитации. Для устранения повышенного сокращения мышц используют приемы поглаживания, для поднятия тонуса мышц используют приемы растирания и поглаживания. Интенсивность повышается постепенно и через несколько месяцев приступают к интенсивному массированию. Обычно массаж делается курсом по 10-15 сеансов с перерывами в несколько месяцев.

Если САК повлек за собой расстройства речи, проводятся занятия с логопедом. Врач укрепляет мышцы языка, учит заново произносить слоги и слова.

Образ жизни при субарахноидальном кровоизлиянии

К сожалению, в большинстве случаев САК приводит к инвалидности. Больным нужно следить за показателями артериального давления, уровнем сахара в крови, углеводным обменом. Нельзя курить и принимать спиртное – восстановление нейронных связей несовместимо с вредными привычками. Также заниматься тяжелыми и активными видами спорта, чтобы не повлечь повторное кровоизлияние при воздействии физических нагрузок.

Важно стабилизировать питание, кушать больше овощей и фруктов, чтобы обеспечить организм питательными элементами. Специалисты рекомендуют сократить потребление соли и специй. Для облегчения глотания пища должна быть жидкой, перемолотой, мягкой.

Рейтинг
( 1 оценка, среднее 5 из 5 )
Понравилась статья? Поделиться с друзьями:
Для любых предложений по сайту: kapiparando@cp9.ru