Прогулочная коляска Cybex Eezy S Plus + В наличии В интернет магазине прогулочных колясок премиумов классов AnnaPolly вы можете купить коляску прогулочную cybex eezy s twist с доставкой и гарантией, ознакомиться с отзывами. Характеристики, размеры и вес коляски прогулочной cybex eezy s twist предоставлены производителем. Коляску прогулочную cybex eezy s twist и другие детские коляски от Cybex можно заказать по привлекательной цене прямо сейчас.
Альфа-амилаза
Что такое амилаза? Амилазы (альфа-амилаза) — представляют собой группу ферментов, которые служат для расщепления
Как избежать инфаркта
Как избежать инфаркта Чтобы избежать инфаркта и его осложнений, стоит знать, какие факторы риска
на какой руке носят магнитный браслет при повышенном давлении
Конечно же, сегодня многие знают о том, что такое магнитный браслет и какую пользу
Замена сердечных клапанов
Достижения израильских кардиохирургов известны во всем мире. Инновационные разработки и высокая квалификация кардиохирургов медицинского
лечение приливов
Курганская Наталия Валерьевна Врач — акушер-гинеколог ✓ Статья проверена медицинским экспертом Приливами называют сильное
Д.А. Кужель, Г.В. Матюшин, Е.Ю. Егорова, Н.В. Ковалева ГОУ ВПО «Красноярская государственная медицинская академия»
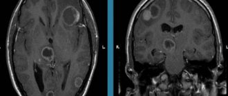
Токсоплазмоз на МРТ головного мозга
Токсоплазмоз на МРТ головного мозга Магнитно-резонансная томография является безболезненным и информативным способом исследования головного
1.Что такое регургитация митрального клапана? ​Регургитация митрального клапана характеризуется неестественным потоком крови из левого
Диагностика стенокардии строится в первую очередь на типичных симптомах – болей в области сердца.
Причины гипертонии
Нормы показателей артериального давления (АД), как их трактует современная медицина, периодически меняются. Когда –
Для любых предложений по сайту: kapiparando@cp9.ru