Dyspnea
Cardiac dyspnea: causes of development and treatment methods
Local therapist Burnatskaya Svetlana Nikolaevna Experience 33 years Local therapist, occupational pathologist. Member of the Russian Scientific Medical
blood test for INR
Blood INR: what kind of test is this and what can its results tell you?
INR blood test - what is it INR analysis paired with another indicator called
Chest pain
Pain on the right side of the chest in men and women: causes, how to treat
There is probably no person who, at least once in his life, has not felt that
2 ways to determine the level of basophils in the blood of children
What function do basophils perform in the body? What are basophils? Basophils are a type of leukocyte, cell
blood pressure 135 80
Blood pressure 130 over 80 (130 over 85) - normal or pathological, what to do?
When the pressure is 140 over 80 or 140 over 85 mmHg. Art. only arises
magnesium in medical ampoules
Prehospital care for sudden increases in blood pressure and hypertensive crisis
In cardiological practice, Magnesium to reduce blood pressure is used to relieve attacks of arterial hypertension, since
Coronary angioplasty and stenting of coronary arteries
Sometimes problems with the cardiovascular system become so serious that conservative treatment methods no longer work.
Eye drops for glaucoma
How to normalize eye pressure in an adult?
When treating glaucoma, the doctor uses all methods to reduce increased intraocular pressure. It helps,
What types of Relief candles are there, how are they different and which are better?
Has restrictions during pregnancy Has restrictions when breastfeeding Prohibited for children Has restrictions for
Open MR machine
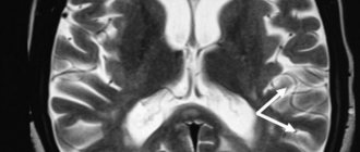
Cerebral gliosis: to worry about or not to worry about?
Magnetic resonance imaging is an informative non-invasive way to study cerebral structures. Diagnosis of pathological processes of the brain
For any suggestions regarding the site: [email protected]
Для любых предложений по сайту: kapiparando@cp9.ru