Причины возникновения и способы лечения кортикальной атрофии головного мозга

Кортикальная атрофия головного мозга – это разрушительные необратимые изменения, которым чаще всего подвержены люди от 50 до 55 лет, хотя есть случаи кортикальной атрофии и у новорожденных младенцев. Патологические нарушения, как правило, проявляются в лобных долях головного мозга, которые отвечают за процесс мышления, поведение человека, контроль. Болезнь протекает медленно с постепенным нарастанием основных симптомов, что в конце концов приводит к возникновению и развитию старческого слабоумия.

Общие сведения

Естественные процессы старения отражаются на состоянии центральной нервной системы. У всех пожилых людей отмечаются ухудшение памяти, снижается способность к обучению, запоминанию и обработке информации. У лиц пожилого и старческого возраста происходит атрофия головного мозга (за год теряется 0,1-0,3% объема), связанная с возрастными физиологическими процессами, но когнитивная функция не быстро достигает уровня деменции. Поэтому у пациентов с нормальным уровнем сознания часто применяется термин «инфолютивные изменения» головного мозга. Физиологическая атрофия начинает развиваться в возрасте 40-60 лет и достигает выраженности к 75 годам.
При психоневрологических заболеваниях (болезнь Альцгеймера, Пика, рассеянный склероз, болезнь с тельцами Леви) атрофия мозга и, соответственно, неврологические расстройства прогрессируют быстро, доводя пациентов до инвалидизации. При этих заболеваниях за год теряется от 0,5 до 1,4% объема мозга. Атрофические изменения головного мозга, что это такое? Это уменьшение объема и плотности ткани мозга в связи с гибелью нейронов, которая происходит по разным причинам. Обычно атрофия является исходом длительных процессов, при которых происходят органические, необратимые изменения паренхимы и разрушаются нервные связи.

При этом в разной степени отмечается атрофия коры головного мозга, подкорковых структур (зрительные бугры, лимбическая система, базальные узлы, гипоталамус) и атрофические изменения мозжечка. Корковая (или наружная) атрофия отмечается у всех больных с вторичной атрофией. Изменения могут быть генерализованными (затрагивается весь мозг) или локальными (поражаются отдельные области мозга).

При некоторых заболеваниях преимущественно атрофируется белое вещество мозга, а при других — серое. Так, при рассеянном склерозе на ранних стадиях происходят атрофические изменения серого вещества, развиваются быстрее, чем атрофия белого вещества и связаны с когнитивными нарушениями. При уменьшении объема коры прогрессируют неврологические изменения. Женщины болеют чаще мужчин и первые признаки патологии появляются в 55 лет. В связи с этим важным является проведение эффективного лечения, которое снижало бы скорость атрофических изменений. Данная патология не излечивается и раньше или позже заканчивается слабоумием. Скорость атрофии определяет скорость наступления и тяжесть инвалидизации.

Как помочь пациенту

Мальформация сосудов головного мозга: что это такое, виды и признаки, лечение и последствия
Кортикальная церебральная атрофия не поддаётся полному излечению. Главная задача – назначение комплексного лечения, направленного на замедление развития симптомов. Атрофии, проявившиеся в молодом возрасте, поддаются эффективной корректировке, если исключить этиологический фактор.

Для лечения кортикальной атрофии, пациентам назначаются препараты таких групп:

  1. Для улучшения микроциркуляции крови. Самое популярное лекарственное средство – Трентал. Препарат с вазодилатирующим действием, увеличивающий просвет капилляров, улучшающий газообмен сквозь стенки сосудов и микроциркуляцию крови.
  2. Ноотропы. Препараты данной группы улучшают обращение крови и метаболизм головного мозга. Препараты с высокой эффективностью: Пирацетам, Цераксон, Церепро, Церебролизин. Лекарственные препараты данной группы благотворно влияют на мыслительные способности больного.
  3. Антиоксиданты. Препараты данной группы стимулируют процессы регенерации, повышают интенсивность обмена веществ, замедляют атрофию, уменьшают воздействие свободных радикалов кислорода.
  4. Для того чтобы снять сопутствующие симптомы такие, как головная боль, назначается применение нестероидных противовоспалительных препаратов.

Важным фактором в лечении кортикальной атрофии есть наблюдение за нервно-психическим состоянием пациента. Членами семьи этот диагноз должен быть принят адекватно, как и отношение к больному:

  • пациенту необходимы прогулки на свежем воздухе ежедневно;
  • умеренная физическая активность;
  • больному нужно доверить все возможные процедуры самообслуживания;
  • при неврастеническом состоянии допустимо применение лёгких седативных препаратов.

Болезнь прогрессирует очень быстро и результатом этого процесса есть деградация личности. Вычурный оттенок приобретает манера общения, речь, поведение. Словарный запас значительно скудеет, что ведёт к использованию в речи односложных фраз. Прогноз для больных кортикальной атрофией головного мозга всегда неблагоприятный: медленно или быстро идёт процесс, он всегда ведёт к деградации и, конечном итоге, смерти.

Эффективных методов профилактики разрушительного процесса на данный момент не существует. Единственное, что может замедлить процесс – это:

  • своевременное лечение всех имеющихся заболеваний;
  • активный образ жизни;
  • работа над своей памятью;
  • развитие интеллекта с молодости;
  • позитивный настрой.

В статье рассмотрим кортикальную атрофию 1–2 степени.

Травмы, гипоксия, возрастные изменения и прочие отрицательные факторы становятся причиной развития атрофии мягких тканей головного мозга. Негативные изменения чаще всего затрагивают пожилых людей, однако нарушения отмечаются и у новорожденных.

Патогенез

В основе развития атрофических процессов в большинстве случаев лежит ухудшение кровоснабжения. Кора мозга — это серое вещество. Белое вещество располагается под серым, Подкорковое вещество образуют таламус, хвостатое и лентикулярное ядро, базальные ядра. Обнаружено, что подкорковое вещество и белое вещество полушарий, расположенное вокруг желудочков мозга, больше страдают при хронической ишемии мозга, чем серое вещество. При повреждении сосудов мозга нарушается снабжение лобных подкорковых областей. В белом веществе развиваются обширные зоны инфарктов, при которых разрушаются аксоны и олигодендроциты.

Поражения мозжечка вызывают снижение его функции: дискоординируются мышечные сокращения и становится невозможным выполнение нормальных движений в конечностях. Нарушается согласованная функция мышц речевого аппарата в результате чего речь становится замедленной и прерывистой. Атаксия дыхательных мышц проявляется толчкообразным дыханием. Гипотония мышц языка становится причиной того, что мягкие согласные произносятся твёрдо.

Классификация

Церебральная атрофия бывает:

  • Первичная. Встречается редко и обусловлена генетическими нарушениями и врожденными аномалиями мозга. Проявляется в любом возрасте, быстро прогрессирует и не поддается коррекции.
  • Вторичная. Связана с воздействием на мозг неблагоприятных факторов, среди которых можно выделить патологию сосудов, черепно-мозговые травмы, воздействие радиации, токсические воздействия, метаболические нарушения, вредные привычки. При вторичной атрофии устранение причины в какой-то степени замедляет развитие заболевания, а адекватное лечение обеспечивает стабильное состояние на долгие годы и относительно хорошее качество жизни.
  • Общая (уменьшается весь объем мозговой паренхимы и увеличивается объем желудочков и субарахноидальных пространств).
  • Локальная (уменьшается объем некоторых структур мозга).

В зависимости от локализации выделяют:

  • Кортикальную атрофию (основным признаком является инволюция коры в области височных и лобных долей).
  • Генерализованную (изменения во всех отделах мозга).
  • Мультисистемную (очаги развиваются в нескольких участках).

В зависимости от стадии:

  • I стадия. Органические изменения минимальны, однако отмечается слабые неврологические нарушения. Отмечается эмоциональная лабильность, расстройство памяти, снижение концентрации внимания.
  • II стадия. Выраженные атрофические проявления, которые проявляются нарушениями слуха, речи и зрения. Меняется поведение, человек совершает нелогичные поступки, которые не может объяснить и быстро забывает о них.
  • III стадия. Резко выражена корковая атрофия и отмечаются множественные очаги в полушариях. Больной не может обслуживать себя и нуждается в посторонней помощи. Личностная деградация выражена максимально. Так человек живет много лет, пока не произойдет разрушение важных центров и не наступит смерть.

Кортикальная церебральная атрофия

Эта форма проявляется утратой интеллекта и нарушением поведения. Кора головного мозга (слой серого вещества) связана с высшими корковыми функциями: восприятие, память, воображение, мышление и речь. Она имеет сложное шестислойное строение и нейроны каждого слоя отличаются по функциям. Области коры, и соответственно, функции разделяются на сенсорные, ассоциативные и двигательные.

Кортикальная атрофия протекает с отмиранием нейронов коры лобной доли. Лобная ассоциативная область участвует в высших психических функциях. Она контролирует поведение, логическое мышление, узнавание предметов и понимание речи. После повреждений лобной коры развивается апатия, отсутствует критичное отношение к себе и своим поступкам, больной не может использовать прошлый опыт, а поведение его становится неадекватным и непредсказуемым, он совершает немотивированные поступки. Когнитивные (познавательные) способности постепенно утрачиваются: больной теряет способность познавать, воспринимать информацию, анализировать и запоминать ее, мыслить. В целом кортикальная атрофия головного мозга характеризуется прогрессирующей деградацией личности, которая протекает стадийно.

Кортикальная церебральная атрофия 1 степени — это начальная степень заболевания, при которой нет симптомов, но это заключение могут дать при МРТ даже молодым людям. Человек при этом живет полноценной жизнью и активен в своей профессиональной деятельности, но может периодически ощущать головную боль, раздражительность и быть эмоционально нестабильным. Факторами, вызывающими церебральную атрофию 1 степени, могут являться различные интоксикации, перенесенные черепно-мозговые травмы и ухудшение кровоснабжения мозга при остеохондрозе шейного отдела.

Генерализованная атрофия

Это распространенная атрофия, характеризующаяся равномерным отмиранием участков всего мозга. Эта форма характерна для обширных ишемических и посттравматических состояний, а также для нейродегенеративных заболеваний — болезни Альцгеймера, Паркинсона, Пика и фронтотемпоральной деменции. Прогрессирование неврологической симптоматики зависит от степени атрофии коры и подкоркового серого вещества. Снижение когнитивных функций связано с поражением белого вещества и коры теменной доли.

В связи с этим генерализованная церебральная атрофия 2 степени отличается заметным снижением способностей больного к мышлению и анализу. Снижен уровень критического мышления и оценки своих действий. Также изменяются привычки больного, речь и почерк. Человек теряет эмоциональную связь и коммуникативные способности. Сильнее проявляются неврологические расстройства – движения и согласованность движений.

Третья степень характеризуется дегенерацией серого и белого вещества. Больной не может контролировать свое поведение, а также нуждается в уходе и наблюдении, поскольку отмечается ухудшение моторики рук, координация движений. Больной не может пользоваться элементарными предметами в быту, не способен самостоятельно принимать решения.

Локальная дегенерация связана с:

  • сосудистыми заболеваниями;
  • злоупотреблением алкоголем (отмечается атрофия червя мозжечка);
  • рассеянным склерозом;
  • употреблением наркотиков;
  • травмой мозга;
  • инфекцией ЦНС.

На ранних этапах рассеянного склероза заболевания отмечается дегенерация подкоркового серого вещества, наиболее выраженная в таламусе. После этого развивается поражение коры (больше поражаются центральные извилины), со временем отмечается деструкция белого вещества и только потом — спинного мозга. При рассеянном склерозе наблюдается не только общая атрофия, но и локальная — поражаются структуры, которые имеют серое вещество: мозжечок, базальные ганглии и таламус. При рассеянном склерозе атрофия серого вещества превалирует над изменениями в белом веществе, и она определяет степень инвалидизации пациентов.

Атрофия мозжечка

Мозжечок расположен под полушариями и над стволом мозга. Это образование координирует движения и их точность, получая информацию из коры и базальных ганглиев о положении ног. Поражения мозжечка характерны для рассеянного склероза, атаксии Фридрейха, оливопонтоцеребеллярной дегенерации, атаксии Пьера-Мари. Атаксия (означает беспорядок) является характерным признаком поражений этого образования мозга.

Атаксия Фридрейха проявляется в 10-20 лет. У больных появляются слабость в ногах, падения, пошатывание и неуверенность при ходьбе, нарушается почерк, речь и слух. Постепенно нарастает атрофия мышц (сначала она выражена на ногах, а со временем охватывает и руки), нарушается глубокая чувствительность, развивается катаракта и атрофируется зрительный нерв, развивается деменция. Компьютерная томография при этой болезни малоэффективна, поскольку слабая степень атрофии полушарий и мозжечка, расширение цистерн, желудочков выявляется на поздних стадиях. Оливопонтоцеребеллярная атрофия рассматривается как одна из форм мультисистемной атрофии.

Мультисистемная атрофия головного мозга

Это вариант дегенеративной прогрессирующей патологии мозга, при которой поражаются базальные ганглии, мозжечок и центров, которые отвечают за вегетативные реакции. Клинически мультисистемная атрофия проявляется паркинсонизмом, мозжечковой атаксией и вегетативными расстройствами. Проявляется заболевание в 50-60 лет, быстро прогрессирует и приводит к смерти. Мышцы становятся скованными, больной с трудом передвигается, нарушается координация и функция внутренних органов.

В зависимости от преобладающего синдрома различают следующие формы заболевания:

  • Стриатонигральная дегенерация или паркинсоническая форма. При ней дегенеративные изменения выражены больше всего в полосатом теле (относится к базальным ядрам) и чёрной субстанции (часть экстрапирамидной системы, играющая роль в моторной функции). Ведущим симптомом является паркинсонизм.
  • Оливоцеребеллярная атрофия или мозжечковая форма. Поражаются мозжечок, оливы и мост. В клинике преобладает мозжечковый синдром, проявляющийся нарушением координации и невозможностью удерживать равновесие.
  • Синдром Шая-Дрейджа. При этой форме ведущей является вегетативная недостаточность и ортостатическая гипотензия — у больных резко снижается давление и появляется предобморочное состояние при переходе в вертикальное положение. Пациентов также беспокоят пониженное потоотделение, потемнение в глазах, расстройства мочеиспускания, импотенция и неустойчивая походка.

Лечение народными средствами

Посредством травяных сборов можно снизить интенсивность отрицательных проявлений кортикальной мозговой атрофии 1 степени.

Неплохие результаты будут получены благодаря таким рецептам:

  • травяной чай – берутся в равных соотношениях пустырник, душица, хвощ и крапива, в термосе завариваются кипятком; отвар нужно настаивать ночью и пить три раза в день;
  • звездчатка и рожь завариваются в термосе; он пьется в неограниченном количестве после приема пищи; в особенности хорошо такой чай помогает при терапии посттравматических участков;
  • шиповник, калина и барбарис – ягоды данных растений следует залить кипятком и настоять на протяжении восьми часов; пить можно как чай в любых количествах; в случае необходимости разрешается добавить мед.

Причины

Церебральная атрофия в большинстве случаев имеет вторичный характер и стоит отметить причины, которые приводят к этому состоянию:

  • Генетическая предрасположенность.
  • Хроническая ишемия мозга, вызывающая диффузное поражение белого вещества (церебральную атрофию), на фоне которой развивается сосудистая деменция. Нужно отметить, что церебральная атрофия при сосудистой деменции не очень выражена, если сравнивать с болезнью Альцгеймера, а атрофия гиппокампа при хронической ишемии мозга такая же как при болезни Альцгеймера.
  • Артериальная гипертензия, на фоне которой развивается гипертоническая энцефалопатия. При этом заболевании на МРТ обнаруживают множественные изменения в подкорковых зонах, вокруг желудочков (лейкоареоз), атрофию коры и расширение желудочков. Такие же изменения наблюдаются и при физиологическом старении.
  • Антифосфолипидный синдром.
  • Инфекции центральной нервной системы (менингит, полиомиелит, лептоспироз).
  • Состояние декортикации при коме.
  • Атеросклероз общий и церебральный. Усугубляется состояние при сочетании атеросклероза с артериальной гипертензией.
  • Опухоли мозга.
  • Эмболии артерий головного мозга. Источник эмболий — фрагменты атеросклеротических бляшек и тромбы из сердца.
  • Фибрилляция предсердий. У больных с фибриляцией уменьшается мозговое вещество в целом, а также отдельных отделов. Прежде всего страдают лобные отделы мозга и гиппокамп.
  • Врожденные аномалии мозговых сосудов, вызывающие расстройства мозгового кровообращения.
  • Нарушения реологии крови (повышенная вязкость, слипание тромбоцитов и прочее).
  • Повышенный уровень гомоцистеина. Гомоцистеин — серосодержащая аминокислота, повышение уровня которой связывают с развитием сосудистых нарушений головного мозга и сердца и нейродегенеративных процессов в мозге. Гипергомоцистеинемия — это фактор риска повторных инсультов и изменений белого вещества. У пациентов с повышенным уровнем гомоцистеина большей степени выражена атрофия гиппокампа.
  • Сахарный диабет. Для больных сахарным диабетом характерна негрубая церебральная атрофия коры, подкорковых структур и лейкоареоз. Даже повышение глюкозы до верхней границы связано с атрофическими изменениями в гиппокампе и миндалевидном комплексе.
  • Рассеянный склероз. Уже на ранних стадиях у больных отмечается дегенеративные изменения — гибнут нейроны и аксоны. Повреждение аксонов отмечается в активных и хронических очагах склероза. В последних плотность аксонов уменьшается до 80%. Эти процессы плюс глиоз и демиелинизация приводят к уменьшению объема мозга. Больные с ремиттирующим склерозом (он протекает с обострениями и ремиссиями) за год теряют 0,5-1,3% объема мозга.
  • Болезнь Альцгеймера. На МРТ определяется атрофия височной доли (уменьшение объема извилин и расширение борозд) и гиппокампа, что является маркерами этого заболевания. Гиппокамп играет важную роль в формировании памяти (классификации информации и в долгосрочной памяти). Любая черепно-мозговая травма ускоряет развитие болезни Альцгеймера.
  • Любые интоксикации организма (медикаментозная, алкогольная, наркотическая). При алкоголизме развивается диффузная атрофия мозга.
  • Возрастные изменения.
  • Гидроцефалия у детей. Эта патология сопровождается структурными изменениями мозга: истончение коры, уменьшение белого вещества, атрофия сосудов и атрофия базальных ганглиев и мозжечка.
  • Черепно-мозговая травма. Через 3-4 недели после травмы мелкие кровоизлияния рассасываются, расширяются желудочки и субарахноидальное пространство и развивается генерализованная атрофия мозга, которая обусловлена длительной внутричерепной гипертензией.
  • Длительно проводимая кортикостероидная терапия может вызывать церебральную атрофию.
  • Острая боль. Сохраняющаяся в течение 3 месяцев острая боль вызывает атрофические изменения в коре мозга.
  • Гиподинамия. Фактором риска появления атрофических процессов и снижения когнитивных познавательных функций является ограничение физической нагрузки.

Симптомы атрофии головного мозга

Начальные симптомы заболевания отражают изменения психического состояния больных. Ранние симптомы — тревога и депрессия. Больные становится апатичным, вялыми, их ничего не интересует и не привлекает, они предпочитают уединяться и постоянно пребывают дома, ночной сон их нарушается. Маской депрессии являются раздражительность, недовольство всем и ворчливость, которые расцениваются как особенности пожилых лиц.

Если депрессия является маркером внутренней атрофии, то тревожные расстройства характерны для фокальной и наружной церебральной атрофии.

Когнитивные расстройства (память, внимание, концентрация внимания, умение узнавать объекты и совершать действия целенаправленно) выявляется у всех больных на ранних стадиях дегенерации мозга. Когнитивные симптомы и депрессия расцениваются часто как старческая забывчивость и плохое настроение. Нарушение памяти и внимания сначала происходят на фоне сохранения профессиональных и бытовых навыков. По мере прогрессирования постепенно теряются социальные навыки (больной не может самостоятельно сходить в магазин, аптеку, посетить поликлинику, поскольку у него отсутствует целенаправленность действий) и бытовые (не может элементарно ухаживать за собой, поесть и принять душ). Со временем появляется неряшливость, становится скудным запас слов, больной не осмысливает обращенную к нему речь и просьбы. Движения его размашистые, почерк изменяется и ухудшается мелкая моторика.

В тяжелых случаях больной не узнает своих близких и знакомых, не ориентируется в месте и не может отвечать на вопросы. Специфическое поведение заключается в том, что больные постоянно повторяют действия и слова за другими. Конечная стадия дегенерации мозга — маразм — полный регресс умственных способностей и разрушение личности. При этом активизируются младенческие рефлексы: появляется сосательный рефлекс, больной лежит в позе зародыша, оправляется и мочится под себя. На обращение отвечает нечленораздельными звуками.

Симптомы атрофии мозжечка

Поскольку мозжечок регулирует движения, то при его поражении будут отмечаться:

  • Нарушения равновесия и мышечного тонуса.
  • Нарушения походки (широко расставленные ноги, шаткость, трудности при поворотах).
  • Нарушения мелкой моторики.
  • Некоординированные движения рук и ног.
  • Неустойчивость и частые падения.

Больных также беспокоит головная боль, головокружения, приступы тошноты и рвоты, зрительные расстройства, нарушения произношения, скандированная и замедленная речь, некоординированные движения глаз, снижения остроты слуха. При прогрессировании отмечается недержание мочи, парезы и параличи.

Роль позитивного настроя

Большинство специалистов сходятся в том, что спокойная атмосфера, правильный настрой и участие во всех повседневных делах положительно влияет на самочувствие человека. Родным пациента нужно позаботиться об отсутствии нарушений режима дня.

Положительный настрой, активная жизнь и отсутствие стрессов – это лучшие средства, которые позволяют приостановить заболевание.

Предотвратить дегенеративные явления помогают следующие факторы:

  • здоровый образ жизни;
  • здоровое питание;
  • отказ от плохих привычек;
  • постоянная умственная деятельность;
  • контроль артериального давления.

Лечение кортикальной атрофии 1 степени должно быть своевременным.

Анализы и диагностика

При осмотре больного используется психодиагностическое обследования — тесты, таблицы Шульте шкала оценки психического статуса MMSE, запоминание 10 слов и прочее.

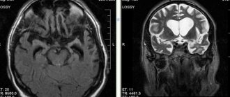
  • Также применяется МРТ-исследование мозга. МРТ более эффективна при обнаружении локальных изменений. Характерные признаки атрофии — расширение борозд (кортикальная атрофия) и увеличение желудочков. На основании этого рассчитывается церебро-вентрикулярный индекс (соотношение размеров желудочков к поперечному диаметру мозга). При этой патологии на МРТ выявляется: увеличение ЦВИ; расширение субарахноидальных пространств; дегенерация белого вещества; снижение плотности ткани; уменьшение долей в размерах. На основании исследования делают количественную оценку атрофии. При генерализованной кортикальной атрофии расширение борозд и желудочков оценивается в 13 различных областях. Для определенных заболеваний характерны те или иные изменения: при болезни Пика атрофия выражена в лобной и височной области. При болезни Хаттингтона изменения головок хвостатых ядер. Болезнь Паркинсона сопровождается генерализованная атрофией и атрофией черной субстанции, а при болезни Альцгеймера — атрофия гиппокампа.
  • По шкале Fazekas оценивают количественное повреждение белого вещества. Оценка по этой шкале имеет прогностическое значение. Если набирается сумма баллов 3, то больной за год утрачивает способность к обслуживанию себя и самостоятельному существованию: 0 — лейкоареоз отсутствует; 1— множественные точечные поражения; 2 — умеренный лейкоареоз, имеющий тенденцию к слиянию; 3 — лейкоареоз тяжелой степени («сливной»).
  • Ультразвуковая допплерография. Выявляет проходимость сосудов.
  • Электроэнцефалография (изучает степени активности мозга).
  • Реоэнцефалография (изучает состояние кровообращения мозга).
  • Ангиография (рентгенография сосудов с контрастным веществом).
  • Мониторирование давления и по показаниям мониторирование ЭКГ.
  • Офтальмоскопия.
  • Биохимическое исследование крови.

Диета

Средиземноморская диета

  • Эффективность: от 2 кг за 7 дней
  • Сроки: от 7 дней
  • Стоимость продуктов: 4000-6000 рублей за 7 дней

Диета при болезни Паркинсона

  • Эффективность: лечебный эффект через месяц
  • Сроки: постоянно
  • Стоимость продуктов: 1600-1700 рублей в неделю

Пациентам с начинающимися признаками дегенеративных возрастных процессов помимо медикаментозного поддерживающего лечения важно соблюдать диету. Доказано, что средиземноморская диета оказывает нейропротективный эффект и предупреждает развитие когнитивных нарушений. Особенностями ее являются большое количество овощей, фруктов, рыбы (не менее 3 раз в неделю), которая должна заменить мясо, цельнозерновые продукты и растительные масла, богатые ω-3 ПНЖК (льняное, рапсовое) и ω-9 ПНЖК (оливковое).

При проблемах сердечно-сосудистой системы пациент должен ежедневно получать 1 г ω-3 ПНЖК из жирной рыбы (лосось, сельдь, скумбрия), орехов и масла льна. Самое высокое содержание омега-3 в скумбрии (в 100 г 2299 мг), затем следует лосось (1966 мг) и сельдь (1571 мг). В зависимости от вида рыбы 50-80 г ее содержат суточную норму 1 г ω-3 ПНЖК, а горсть грецких орехов — 2,5 г омега-3.

Льняное масло является источником альфа-линоленовой кислоты, из которой в организме образуются эйкозапентаеновая и декозагексаеновая кислоты. Полезно употреблять не только масло льна, но и цельные семена льна, содержащие клетчатку и фитоэстрогены. Прочими источниками омега-3 являются брокколи, дыня, цветная капуста рапсовое масло, фасоль, шпинат, китайская капуста.

Кроме того, омега-6 жирные кислоты (подсолнечное масло и соевое) лучше заменить омега-9 — олеиновая кислота, содержащаяся в оливковом масле. Доказано, что высокие дозы витаминов-антиоксидантов (витамины С и Е) полезны для восстановления эндотелия сосудов. Флавоноиды красного вина, красного винограда и шоколада улучшают функцию эндотелия крупных артерий.

Профилактика

Специфической профилактики не существует, но выполнение общепринятых рекомендаций по здоровому образу жизни в какой-то степени способно предупредить или уменьшить выраженность дегенеративных изменений в старости.

  • Полноценный сон.
  • Физическая активность. Достаточная активность в пожилом возрасте позитивно сказывается на функции головного мозга и замедляет возрастные изменения. У лиц с высокой активностью выявляется меньшая выраженность атрофии — меньше повреждения белого и больше объем серого вещества.
  • Достаточная интеллектуальная активность.
  • Соблюдение диеты, богатой антиоксидантами, витаминами и омега ПНЖК. Результаты подтверждают возможность эффективного применения рыбьего жира при снижении познавательной способности у пожилых и при болезни Альцгеймера. Часто когнитивные нарушения связаны с дефицитом в организме фолиевой кислоты и витамина B12.
  • Отказ от употребления алкоголя и наркотических веществ.
  • Устранение факторов риска (повышенное артериальное давление и уровень сахара в крови, нарушения липидного обмена, тревога, депрессия, нарушение сна).
  • Своевременное лечение начальных цереброваскулярных расстройств.
  • Предупреждение травм головы и инфекций нервной системы.
  • Генетическое консультирование лиц, у которых в роду были случаи болезни Альцгеймера.
  • Для предупреждения гидроцефалии у детей, которая вызывает атрофию мозга, важно своевременно выявить и пролечить инфекции у беременных.

Приобретенные

Ишемия головного мозга: почему развивается и чем опасна патология

Есть и приобретенные причины. Атрофия головного мозга способна появиться от:

  1. Употребления алкоголя и курения. Это становится причиной спазма сосудов головного мозга, поэтому появляется кислородное голодание. Из-за этого клетки белого вещества не смогут получать достаточно питательных веществ, из-за чего они гибнут.
  2. Инфекционных недугов, при которых поражаются нервные клетки – менингит, бешенство, полиомиелиты.
  3. Травм, сотрясений и механических повреждений.
  4. Тяжелой формы почечной недостаточности. Это становится причиной общей интоксикации организма, из-за чего наблюдается нарушение обмена.
  5. Нарушения гидроцефалии. Данное явление проявляется в увеличении субарахноидального пространства и желудочков.
  6. Хронической ишемии, которая приводит к поражению сосудов и малому поступлению питательных веществ в нейронные связи.
  7. Атеросклероза, который проявляется в сужении просвета вен и артерий, из-за чего повышается внутричерепное давление и появляется риск возникновения инсульта.

Атрофия коры головного мозга может появиться из-за недостаточной интеллектуальной и физической нагрузки, отсутствия сбалансированного питания и неправильного образа жизни.

Прогноз

Прогноз при церебральной атрофии неблагоприятный, поскольку эта патология не лечится, прогрессирует и связана первое время со снижением качества жизни, а потом — с инвалидизацией. Необратимые изменения в мозге влекут снижение интеллекта до умственной отсталости. Церебральная атрофия не всегда уменьшает продолжительность жизни, но значительно ухудшает ее качество. Продолжительность жизни при церебральной атрофии зависит от степени повреждения и скорости прогрессирования. При быстром прогрессировании и вовлечении жизненно важных центров возможна остановка жизненных процессов.

Продолжительность жизни при мультисистемной атрофии значительно сокращается, поскольку быстро прогрессирует бульбарный паралич — нарушение глотания. Дисфагия осложняется аспирацией пищи и пневмонией, часто ведущей к смерти. При развитии паралича голосовых связок наступает асфиксия и внезапная смерть.

Как быть семье больного?

Болезнь прогрессирует, и пациенту требуется уход. Первыми появляются проблемы с глотанием жидкой или твердой пищи, нарушается самостоятельное передвижение и контроль за мочеиспусканием и дефекацией.
Родственники больного могут столкнуться со следующими проблемами:

  1. Оформление группы инвалидности;
  2. Получение социальной помощи;
  3. Поиск информации по уходу за пациентом.

Можно определить пациента в дом престарелых, где квалифицированный персонал будет ухаживать за больным. Пансионаты для людей с такой болезнью работают на платной основе, сутки пребывания стоят от 1500 рублей.

Ссылка на европейскую группу поддержки больных с МСА, а так же, истории из жизни пациентов на русском и других языках.

Список источников

  • Локшина А. Б., Захаров В. В. Легкие и умеренные когнитивные расстройства при дисциркуляторной энцефалопатии. //Невролог. журн. – 2006. – Т.11, прилож.1. – С.57 – 64.
  • Воробьева О. В. Хроническая ишемия головного мозга: от патогенеза к терапии (рекомендации неврологу амбулаторного звена)// РМЖ «Медицинское обозрение» №5, 2021. — С. 26-31.
  • Голубев В. Л., Вейн А.М. Неврологические синдромы: руководство для врачей. 6-е изд. – М.: МЕДпресс-информ, 2021. – 736с.
  • Екушева Е.В. Клинические портреты «типичных» пациентов в практике невролога. Consilium Medicum. 2019; 21(9): 131-135.
  • Одинак М.М., Вознюк И.А. Нейрометаболическая терапия при патологии нервной системы. Медицина неотложных состояний. 2013; 3(50): 72-77.
Рейтинг
( 2 оценки, среднее 4.5 из 5 )
Понравилась статья? Поделиться с друзьями:
Для любых предложений по сайту: kapiparando@cp9.ru